Promotional price valid on web orders only. Your contract pricing may differ. Interested in signing up for a dedicated account number?
Learn More
Learn More
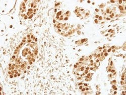
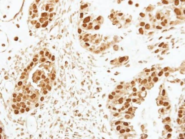
Invitrogen™ CENPF Polyclonal Antibody

Rabbit Polyclonal Antibody
Supplier: Invitrogen™ PA527126
Description
Recommended positive controls: 293T, Raji. Store product as a concentrated solution. Centrifuge briefly prior to opening the vial.
This gene encodes a protein that associates with the centromere-kinetochore complex. The protein is a component of the nuclear matrix during the G2 phase of interphase. In late G2 the protein associates with the kinetochore and maintains this association through early anaphase. It localizes to the spindle midzone and the intracellular bridge in late anaphase and telophase, respectively, and is thought to be subsequently degraded. The localization of this protein suggests that it may play a role in chromosome segregation during mitosis. It is thought to form either a homodimer or heterodimer. Autoantibodies against this protein have been found in patients with cancer or graft versus host disease.
Specifications
CENPF | |
Polyclonal | |
Unconjugated | |
CENPF | |
6530404A22Rik; AH antigen; AI325968; cell-cycle-dependent 350K nuclear protein; CENF; CENPF; CENP-F; CENP-F kinetochore protein; centromere autoantigen F; centromere protein F; centromere protein F, (mitosin); centromere protein F, 350/400ka (mitosin); centromere protein F, 350/400kDa (mitosin); CILD31; hcp-1; im:7140452; im:7144238; im:7154719; im:7156761; kinetochore protein CENPF; Lek1; leucine, glutamic acid, lysine family 1 protein; mitosin; PRO1779; RP11-262H5.1; si:ch211-152h14.2; STROMS | |
Rabbit | |
Antigen affinity chromatography | |
RUO | |
1063, 497403 | |
Store at 4°C short term. For long term storage, store at -20°C, avoiding freeze/thaw cycles. | |
Liquid |
Immunohistochemistry (Free Floating), Immunohistochemistry (Paraffin), Western Blot, Immunocytochemistry | |
1 mg/mL | |
PBS with 20% glycerol and 0.01% thimerosal; pH 7 | |
P49454 | |
CENPF | |
Carrier-protein conjugated synthetic peptide encompassing a sequence within the C-terminus region of human CENPF. The exact sequence is proprietary. | |
100 μL | |
Primary | |
Human, Zebrafish | |
Antibody | |
IgG |
Safety and Handling
WARNING: Cancer - www.P65Warnings.ca.gov
Product Content Correction
Your input is important to us. Please complete this form to provide feedback related to the content on this product.
Product Title
Spot an opportunity for improvement?Share a Content Correction