Promotional price valid on web orders only. Your contract pricing may differ. Interested in signing up for a dedicated account number?
Learn More
Learn More
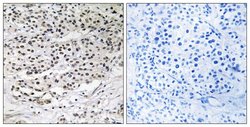
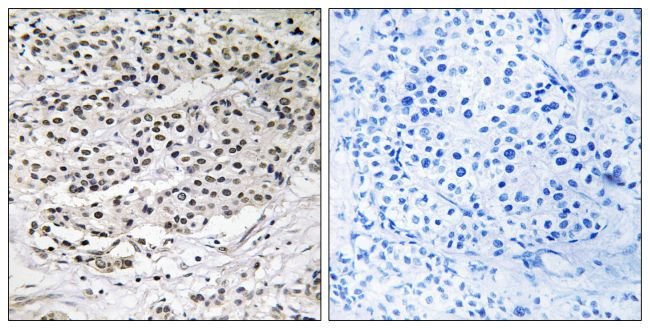
CEP131 Polyclonal Antibody, Invitrogen™
Rabbit Polyclonal Antibody
Supplier: Thermo Scientific PA538978
Description

Specifications
CEP131 | |
Polyclonal | |
Unconjugated | |
CEP131 | |
AZI1, KIAA1118 | |
Rabbit | |
Antigen affinity chromatography | |
RUO | |
12009, 22994, 360672 | |
-20°C | |
Liquid |
Immunohistochemistry (Paraffin), Western Blot | |
1 mg/mL | |
Dulbecco′s PBS with 150mM NaCl, 50% glycerol and 0.02% sodium azide; pH 7.4 | |
Q9UPN4, Q62036 | |
CEP131 | |
A synthetic peptide derived from the internal region of human AZI1 | |
100 μg | |
Primary | |
Human, Mouse, Rat | |
Antibody | |
IgG |
Safety and Handling
WARNING: Cancer - www.P65Warnings.ca.gov
Product Content Correction
Your input is important to us. Please complete this form to provide feedback related to the content on this product.
Product Title
Spot an opportunity for improvement?Share a Content Correction