Promotional price valid on web orders only. Your contract pricing may differ. Interested in signing up for a dedicated account number?
Learn More
Learn More
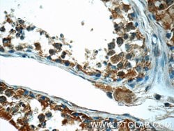
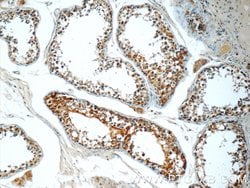
CEP55 Rabbit anti-Human, Mouse, Rat, Polyclonal, Proteintech

Rabbit Polyclonal Antibody
Supplier: Proteintech Group Inc 238911AP150UL
Description
Plays a role in mitotic exit and cytokinesis. Not required for microtubule nucleation. Recruits PDCD6IP and TSG101 to midbody during cytokinesis.Specifications
| CEP55 | |
| Polyclonal | |
| Unconjugated | |
| CEP55 | |
| C10orf3, centrosomal protein 55kDa, Centrosomal protein of 55 kDa, CEP55, Up regulated in colon cancer 6, URCC6 | |
| Rabbit | |
| Antigen Affinity Chromatography | |
| RUO | |
| 294074, 55165, 74107 | |
| -20°C | |
| Liquid |
| Immunohistochemistry (Paraffin), Immunoprecipitation, Western Blot | |
| 0.42 mg/mL | |
| PBS with 50% glycerol and 0.02% sodium azide; pH 7.3 | |
| Q4V7C8, Q53EZ4, Q8BT07 | |
| CEP55 | |
| CEP55 Fusion Protein Ag20940 | |
| 150 μL | |
| Primary | |
| Human, Mouse, Rat | |
| Antibody | |
| IgG |
Product Content Correction
The Fisher Scientific Encompass Program offers items which are not part of our distribution portfolio. These products typically do not have pictures or detailed descriptions. However, we are committed to improving your shopping experience. Please use the form below to provide feedback related to the content on this product.
Product Title
Spot an opportunity for improvement?Share a Content Correction