Learn More
Invitrogen™ CEP63 Polyclonal Antibody

Description
Immunogen sequence: LKRMEAHNNE YKAEIKKLKE QILQGEQSYS SALEGMKMEI SHLTQELHQR DITIASTKGS SSDMEKRLRA EMQKAEDKAV EHKEILDQLE SL Highest antigen sequence identity to the following orthologs: Mouse - 85%, Rat - 83%.
Specifications
Specifications
| Antigen | CEP63 |
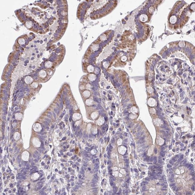
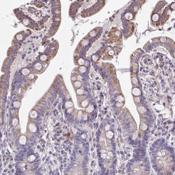
| Applications | Immunohistochemistry (Paraffin) |
| Classification | Polyclonal |
| Concentration | 0.1 mg/mL |
| Conjugate | Unconjugated |
| Formulation | PBS with 40% glycerol and 0.02% sodium azide; pH 7.2 |
| Gene | CEP63 |
| Gene Accession No. | Q96MT8 |
| Gene Alias | 4921501M07; AL450317.13gm1; AW107703; CD20R; centrosomal protein 63; centrosomal protein 63kDa; centrosomal protein of 63 kDa; centrosome protein Cep63; CEP63; D9Mgc41; D9Mgc48e; ET2; LOW QUALITY PROTEIN: centrosomal protein of 63 kDa; SCKL6 |
| Gene Symbols | CEP63 |
| Show More |
By clicking Submit, you acknowledge that you may be contacted by Fisher Scientific in regards to the feedback you have provided in this form. We will not share your information for any other purposes. All contact information provided shall also be maintained in accordance with our Privacy Policy.