Promotional price valid on web orders only. Your contract pricing may differ. Interested in signing up for a dedicated account number?
Learn More
Learn More
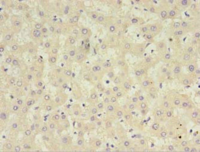
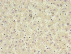
Invitrogen™ CFHR2 Polyclonal Antibody

Rabbit Polyclonal Antibody
Supplier: Invitrogen™ PA5112851
Description
CFHR2 Polyclonal Antibody for Western Blot, IHC (P), ELISA
Might be involved in complement regulation. Can associate with lipoproteins and may play a role in lipid metabolism.
Specifications
| CFHR2 | |
| Polyclonal | |
| Unconjugated | |
| CFHR2 | |
| CFHL2; CFHR2; complement factor H related 2; complement factor H-related 2; complement factor H-related protein 2; DDESK59; factor H-related gene 2; FHR2; FHR-2; H factor (complement)-like 3; h factor-like 3; H factor-like protein 2; HFL3 | |
| Rabbit | |
| Protein G | |
| RUO | |
| 3080 | |
| -20°C or -80°C if preferred | |
| Liquid |
| ELISA, Immunohistochemistry (Paraffin), Western Blot | |
| 3 mg/mL | |
| PBS with 50% glycerol and 0.03% ProClin 300; pH 7.4 | |
| P36980 | |
| CFHR2 | |
| Recombinant Human Complement factor H-related protein 2 protein (20-269AA). | |
| 100 μg | |
| Primary | |
| Human | |
| Antibody | |
| IgG |
Safety and Handling
WARNING: Cancer - www.P65Warnings.ca.gov
Product Content Correction
Your input is important to us. Please complete this form to provide feedback related to the content on this product.
Product Title
Spot an opportunity for improvement?Share a Content Correction