Promotional price valid on web orders only. Your contract pricing may differ. Interested in signing up for a dedicated account number?
Learn More
Learn More
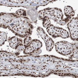
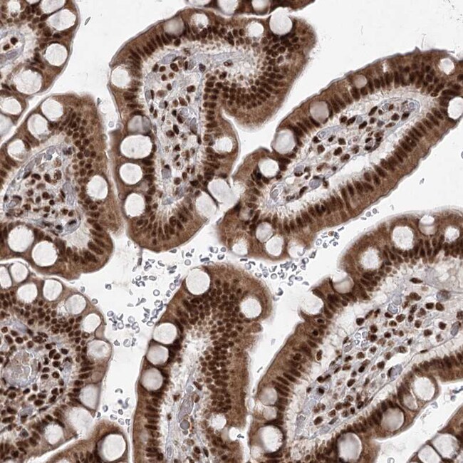
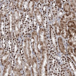
Invitrogen™ CGGBP1 Polyclonal Antibody

Rabbit Polyclonal Antibody
Supplier: Invitrogen™ PA557916
Description
Immunogen sequence: PLTASLQCNS TAQTEKVSVI QDFVKMCLEA NIPLEKADHP AVRAFLSRHV KNGGSIPKSD QLRRAYLPDG YENENQLLNS QD Highest antigen sequence identity to the following orthologs: Mouse - 96%, Rat - 100%.
CGGBP1 influences expression of the FMR1 gene (MIM 309550), which is associated with the fragile X mental retardation syndrome (MIM 300624), by specifically interacting with the 5-prime (CGG)n-3-prime repeat in its 5-prime UTR.
Specifications
CGGBP1 | |
Polyclonal | |
Unconjugated | |
Cggbp1 | |
20 kDa CGG-binding protein; AA960172; AL023996; AW045841; CGG triplet repeat binding protein 1; CGG triplet repeat-binding protein 1; CGG-binding protein 1; CGGBP; Cggbp1; p20-CGG binding protein; p20-CGGBP; p20-CGGBP DNA-binding protein | |
Rabbit | |
Antigen affinity chromatography | |
RUO | |
8545 | |
Store at 4°C short term. For long term storage, store at -20°C, avoiding freeze/thaw cycles. | |
Liquid |
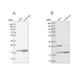
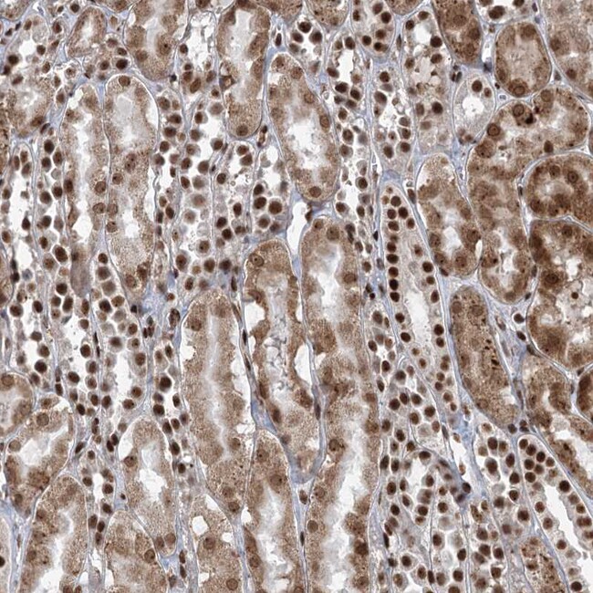
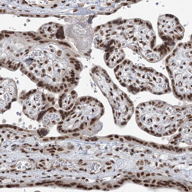
Immunohistochemistry (Paraffin), Western Blot, Immunocytochemistry | |
0.2 mg/mL | |
PBS with 40% glycerol and 0.02% sodium azide; pH 7.2 | |
Q9UFW8 | |
Cggbp1 | |
Recombinant protein corresponding to Human CGGBP1. Recombinant protein control fragment (Product #RP-96391). | |
100 μL | |
Primary | |
Human | |
Antibody | |
IgG |
Safety and Handling
WARNING: Cancer - www.P65Warnings.ca.gov
Product Content Correction
Your input is important to us. Please complete this form to provide feedback related to the content on this product.
Product Title
Spot an opportunity for improvement?Share a Content Correction