Promotional price valid on web orders only. Your contract pricing may differ. Interested in signing up for a dedicated account number?
Learn More
Learn More
CHAF1B Rabbit anti-Human, Clone: 7N0I2, Novus Biologicals™

Rabbit Monoclonal Antibody
Supplier: Novus Biologicals NBP31654520UL
This item is not returnable.
View return policy
Description
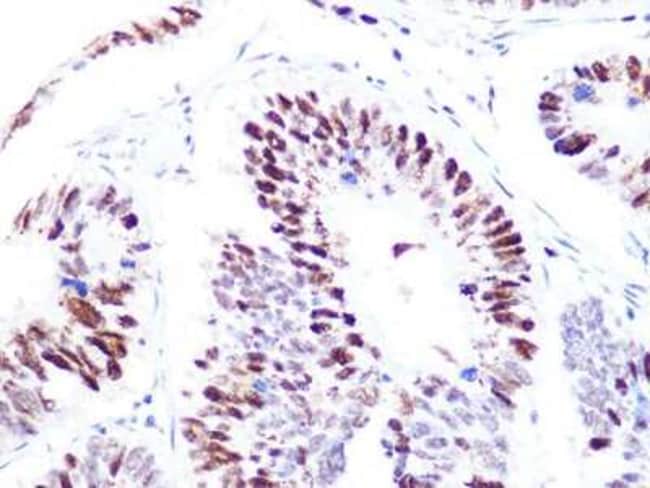
CHAF1B Monoclonal antibody specifically detects CHAF1B in Human samples. It is validated for Western Blot, Immunohistochemistry, Immunohistochemistry (Paraffin)Specifications
CHAF1B | |
Monoclonal | |
Unconjugated | |
PBS, 0.05% BSA, 50% glycerol, pH7.3 | |
Rabbit | |
Affinity purified | |
RUO | |
Primary | |
Human | |
Purified |
Western Blot, Immunohistochemistry, Immunohistochemistry (Paraffin) | |
7N0I2 | |
Western Blot, Immunohistochemistry 1:50 - 1:200, Immunohistochemistry-Paraffin | |
CAF1, CAF-1, CAF1ACAF-1 subunit B, CAF1P60CAF-I 60 kDa subunit, CAF-IP60, chromatin assembly factor 1 subunit B, chromatin assembly factor 1, subunit B (p60), Chromatin assembly factor I p60 subunit, human chromatin assembly factor-I p60 subunit, 10, MPHOSPH7CAF-I p60, MPP7M-phase phosphoprotein 7 | |
Recombinant fusion protein containing a sequence corresponding to amino acids 459-559 of human CHAF1B (Q13112). | |
20 μg | |
Apoptosis, Cancer, Cell Cycle and Replication, Chromatin Research | |
8208 | |
Store at -20°C. Avoid freeze-thaw cycles. | |
IgG |
Product Content Correction
Your input is important to us. Please complete this form to provide feedback related to the content on this product.
Product Title
Spot an opportunity for improvement?Share a Content Correction