Promotional price valid on web orders only. Your contract pricing may differ. Interested in signing up for a dedicated account number?
Learn More
Learn More
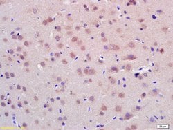
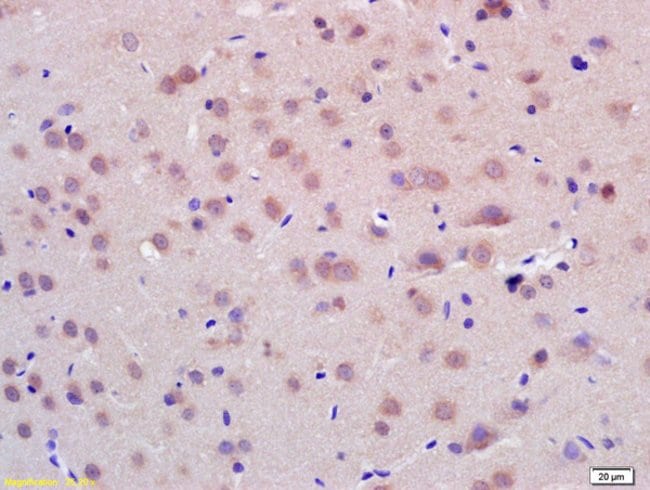
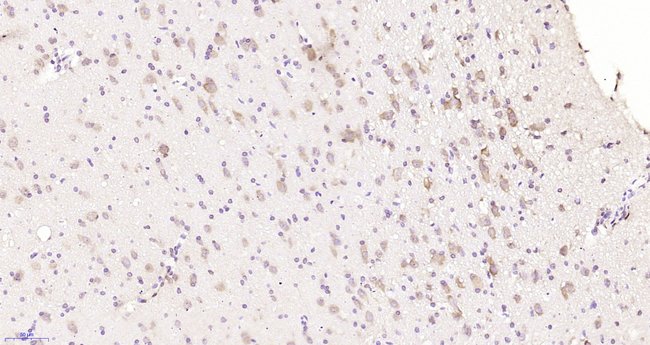
CHIP Rabbit anti-Human, Polyclonal, Bioss

Rabbit Polyclonal Antibody
Supplier: Bioss BS15405R

Description
A recently identified protein, termed carboxyl terminus of hsc70-interacting protein (CHIP), has been shown to interact both with the constitutive form of hsc70 and the stress inducible form, hsp70. This novel 35 kDa cytoplasmic protein has been shown to be highly expressed in striated muscle in vivo. Additional studies have shown that this protein is expressed over a broad range of cultured tissues. Through immunoprecipitation experiments, CHIP has been shown to directly bind to the carboxyl terminus of hsc70 and hsp70 where it decreases ATPase activity and reduces overall chaperone efficiency. CHIP has also been identified as an important protein in the ubiquitin-proteasome system. CHIP contains a U-box domain and acts as an E3 ubiquitin-ligase in conjunction with hsc70 and hsp90.Specifications
CHIP | |
Polyclonal | |
Unconjugated | |
STUB1 | |
0610033N24Rik; 2210017D18Rik; 2310040B03Rik; Antigen NY-CO-7; AW046544; Carboxy terminus of Hsp70-interacting protein; CHIP; CLL-associated antigen KW-8; E3 ubiquitin-protein ligase CHIP; heat shock protein A binding protein 2 (c-terminal); HSPABP2; LA16c-313D11.6; NY-CO-7; PP1131; RING-type E3 ubiquitin transferase CHIP; SCAR16; SDCCAG7; serologically defined colon cancer antigen 7; STIP1 homology and U box-containing protein 1; STIP1 homology and U-box containing protein 1; STIP1 homology and U-box containing protein 1, E3 ubiquitin protein ligase; Stub1; UBOX1 | |
Rabbit | |
Protein A | |
RUO | |
10273 | |
-20°C | |
Liquid |
Immunofluorescence, Immunohistochemistry (Paraffin), Western Blot | |
1 μg/mL | |
PBS with 1% BSA, 50% glycerol and 0.09% sodium azide; pH | |
Q9UNE7 | |
STUB1 | |
KLH conjugated synthetic peptide derived from human CHIP. | |
100 μL | |
Primary | |
Human | |
Antibody | |
IgG |
Product Content Correction
The Fisher Scientific Encompass Program offers items which are not part of our distribution portfolio. These products typically do not have pictures or detailed descriptions. However, we are committed to improving your shopping experience. Please use the form below to provide feedback related to the content on this product.
Product Title
Spot an opportunity for improvement?Share a Content Correction