Promotional price valid on web orders only. Your contract pricing may differ. Interested in signing up for a dedicated account number?
Learn More
Learn More
Invitrogen™ CHM Polyclonal Antibody

Rabbit Polyclonal Antibody
Supplier: Invitrogen™ PA551870
Description
Immunogen sequence: SRKDKTIQHV EVFCYASQDL HEDVEEAGAL QKNHALVTSA NSTEAADSAF LPTEDESLST MSCEMLTEQT PSSDPENALE VNGAEVTGEK ENHCDDKTCV PSTSAEDMSE NVPIAEDTTE QPKKNRITYS QIIKEG Highest antigen sequence identity to the following orthologs: Mouse - 58%, Rat - 66%.
Substrate-binding subunit of the Rab geranylgeranyltransferase (GGTase) complex. Binds unprenylated Rab proteins and presents the substrate peptide to the catalytic component B composed of RABGGTA and RABGGTB, and remains bound to it after the geranylgeranyl transfer reaction. The component A is thought to be regenerated by transferring its prenylated Rab back to the donor membrane. Besides, a pre-formed complex consisting of CHM and the Rab GGTase dimer (RGGT or component B) can bind to and prenylate Rab proteins; this alternative pathway is proposed to be the predominant pathway for Rab protein geranylgeranylation.
Specifications
CHM | |
Polyclonal | |
Unconjugated | |
CHM | |
CHM; CHM, Rab escort protein 1; choroideraemia protein homolog; choroideremia (Rab escort protein 1); Choroideremia protein; Choroideremia protein homolog; choroidermia; choroidermia (RAB escort protein 1); DXS540; GGTA; HSD-32; Rab escort protein 1; rab proteins geranylgeranyltransferase component A 1; REP1; REP-1; TCD; TCD protein | |
Rabbit | |
Antigen affinity chromatography | |
RUO | |
1121 | |
Store at 4°C short term. For long term storage, store at -20°C, avoiding freeze/thaw cycles. | |
Liquid |
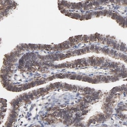
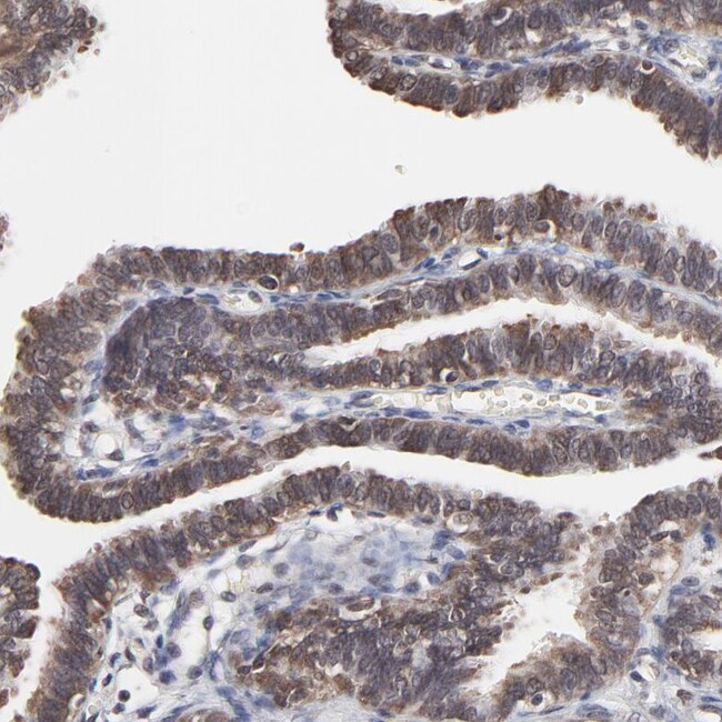
Immunohistochemistry (Paraffin) | |
0.3 mg/mL | |
PBS with 40% glycerol and 0.02% sodium azide; pH 7.2 | |
P24386 | |
CHM | |
Recombinant protein corresponding to Human CHM. Recombinant protein control fragment (Product #RP-92170). | |
100 μL | |
Primary | |
Human | |
Antibody | |
IgG |
Product Content Correction
Your input is important to us. Please complete this form to provide feedback related to the content on this product.
Product Title
Spot an opportunity for improvement?Share a Content Correction