Promotional price valid on web orders only. Your contract pricing may differ. Interested in signing up for a dedicated account number?
                
Learn More
Learn More
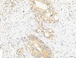
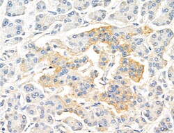
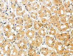
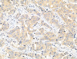
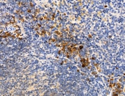
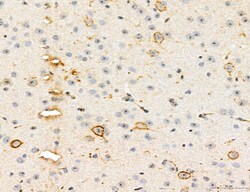
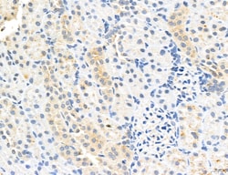
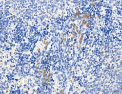
                                    Invitrogen™ CHMP2A Polyclonal Antibody
 
                                    
                                    
                                    
                                    
                                
                            
                            
                            
                            
Rabbit Polyclonal Antibody
Supplier: Invitrogen™ PA5106311
Description
Antibody detects endogenous levels of total CHMP2A.
CHMP2A belongs to the chromatin-modifying protein/charged multivesicular body protein (CHMP) family. These proteins are components of ESCRT-III (endosomal sorting complex required for transport III), a complex involved in degradation of surface receptor proteins and formation of endocytic multivesicular bodies (MVBs). Some CHMPs have both nuclear and cytoplasmic/vesicular distributions, and one such CHMP, CHMP1A is required for both MVB formation and regulation of cell cycle progression. 
            Specifications
| CHMP2A | |
| Polyclonal | |
| Unconjugated | |
| CHMP2A | |
| 1500016L11Rik; BC2; BC-2; Charged multivesicular body protein 2a; CHMP2; CHMP2A; chromatin modifying protein 2A; chromatin-modifying protein 2a; fj10d05; hypothetical protein LOC523847; mVps2; putative breast adenocarcinoma marker; putative breast adenocarcinoma marker (32kD); putative breast adenocarcinoma marker BC-2; RGD1305050; Vacuolar protein sorting-associated protein 2; vacuolar protein sorting-associated protein 2-1; vacuolar protein-sorting-associated protein 2; VPS2; VPS2 homolog A; vps2-1; VPS2A; wu:fi18h03; wu:fj10d05; zgc:55361 | |
| Rabbit | |
| Affinity chromatography | |
| RUO | |
| 27243, 365191, 68953 | |
| -20°C | |
| Liquid | 
| Immunohistochemistry (Paraffin), Western Blot, Immunocytochemistry | |
| 1 mg/mL | |
| PBS with 50% glycerol and 0.02% sodium azide; pH 7.4 | |
| O43633, Q9DB34 | |
| CHMP2A | |
| A synthesized peptide derived from human CHMP2A(Accession O43633), corresponding to amino acid residues E158-A208. | |
| 100 μL | |
| Primary | |
| Human, Mouse, Rat | |
| Antibody | |
| IgG | 
Safety and Handling
                                                    
                                                    WARNING: Cancer - www.P65Warnings.ca.gov 
                                                
                                            
                                        
                                    
                                
                    Product Content Correction
                
                Your input is important to us. Please complete this form to provide feedback related to the content on this product.
Product Title
			
            Spot an opportunity for improvement?Share a Content Correction
             
                             
                             
                             
                             
                             
                             
                             
                             
                             
                             
                             
                            