Promotional price valid on web orders only. Your contract pricing may differ. Interested in signing up for a dedicated account number?
Learn More
Learn More
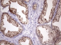
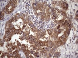
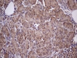
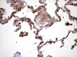
CHMP5 Mouse anti-Human, Clone: OTI5C7, liquid, TrueMAB™

Mouse Monoclonal Antibody
Supplier: OriGene TA808523
Description
CHMP5 belongs to the chromatin-modifying protein/charged multivesicular body protein family. These proteins are components of ESCRT-III , a complex involved in degradation of surface receptor proteins and formation of endocytic multivesicular bodies. Some CHMPs have both nuclear and cytoplasmic/vesicular distributions, and one such CHMP, CHMP1A , is required for both MVB formation and regulation of cell cycle progression.Specifications
| CHMP5 | |
| Monoclonal | |
| 1 mg/mL | |
| PBS with 1% BSA, 50% glycerol and 0.02% sodium azide | |
| Q9NZZ3 | |
| CHMP5 | |
| Full length human recombit protein of human CHMP5 produced in E.coli. | |
| 100 μL | |
| Primary | |
| Human | |
| Antibody | |
| IgG1 |
| Immunohistochemistry (Paraffin), Western Blot | |
| OTI5C7 | |
| Unconjugated | |
| CHMP5 | |
| C9orf83, CGI-34, HSPC177, PNAS-2, SNF7DC2, Vps60 | |
| Mouse | |
| Affinity Chromatography | |
| RUO | |
| 51510 | |
| -20° C, Avoid Freeze/Thaw Cycles | |
| Liquid |
Product Content Correction
The Fisher Scientific Encompass Program offers items which are not part of our distribution portfolio. These products typically do not have pictures or detailed descriptions. However, we are committed to improving your shopping experience. Please use the form below to provide feedback related to the content on this product.
Product Title
Spot an opportunity for improvement?Share a Content Correction