Promotional price valid on web orders only. Your contract pricing may differ. Interested in signing up for a dedicated account number?
Learn More
Learn More
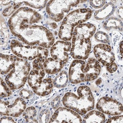
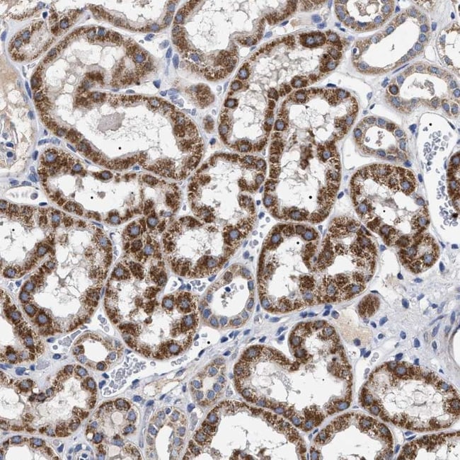
Invitrogen™ CHRDL2 Polyclonal Antibody

Rabbit Polyclonal Antibody
Supplier: Invitrogen™ PA582773
Description
Immunogen sequence: RVLVHTSVSP SPDNLRRFAL EHEASDLVEI YLWKLVKGIF HLTQIKKVRK QDFQKEAQHF RLLAGPHEGH WNVFLAQTLE LKVTASPDKV TKT.
CHRDL2 encodes a member of the chordin family of proteins. Chordin family members are secreted proteins that share a cysteine-rich pro-collagen repeat domain and associate with members of the transforming growth factor beta superfamily. In vitro assays demonstrate a direct interaction between the encoded protein and human activin A. This gene is expressed in many tissues including osteoblasts, where it is differentially expressed during differentiation. In addition, its expression is upregulated in human osteoarthritic joint cartilage, suggesting a role in adult cartilage regeneration.
Specifications
| CHRDL2 | |
| Polyclonal | |
| Unconjugated | |
| Chrdl2 | |
| 1810022C01Rik; BNF1; BNF-1; Breast tumor novel factor 1; CHL2; chordin like 2; chordin-like 2; chordin-like protein 2; Chordin-related protein 2; CHRDL2; FKSG37; UNQ765/PRO1557 | |
| Rabbit | |
| Antigen affinity chromatography | |
| RUO | |
| 25884 | |
| Store at 4°C short term. For long term storage, store at -20°C, avoiding freeze/thaw cycles. | |
| Liquid |
| Immunohistochemistry (Paraffin), Western Blot | |
| 0.3 mg/mL | |
| PBS with 40% glycerol and 0.02% sodium azide; pH 7.2 | |
| Q6WN34 | |
| Chrdl2 | |
| Recombinant protein corresponding to Human CHRDL2. Recombinant protein control fragment (Product #RP-92275). | |
| 100 μL | |
| Primary | |
| Human | |
| Antibody | |
| IgG |
Product Content Correction
Your input is important to us. Please complete this form to provide feedback related to the content on this product.
Product Title
Spot an opportunity for improvement?Share a Content Correction