Promotional price valid on web orders only. Your contract pricing may differ. Interested in signing up for a dedicated account number?
Learn More
Learn More
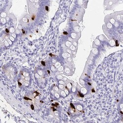
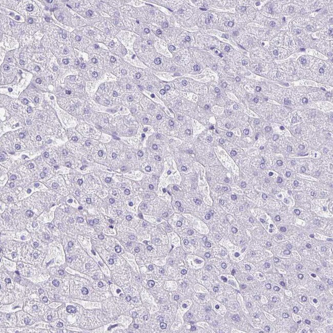
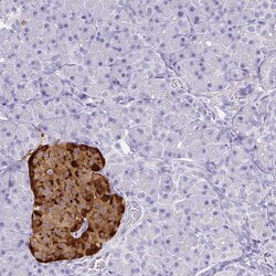
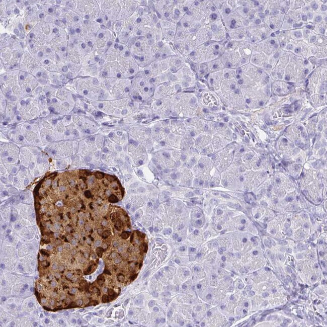
Invitrogen™ Chromogranin A Polyclonal Antibody

Rabbit Polyclonal Antibody
Supplier: Invitrogen™ PA5110826
Description
Immunogen sequence: NSPMNKGDTE VMKCIVEVIS DTLSKPSPMP VSQECFETLR GDERILSILR HQNLLKELQD LALQGAKERA HQQKKHSGFE DELSEVLENQ SSQAELKEAV EEPSSKDVME KREDSKEAEK SGEATDGARP QALPEPMQES K.
Chromogranin A (CHGA) is a member of the chromogranin/secretogranin family of neuroendocrine secretory proteins. It is found in secretory vesicles of neurons and endocine cells. CHGA is a precursor to three biologically active peptides: vasostatin, pancreastatin, and parastatin. These peptides act as autocine or paracrine negative modulators of the neuroendocrine system. CHGA is an excellent marker for carcinoid tumors, pheo-chromocytomas, paragangliomas, and other neuro-endocrine tumors. Coexpression of chromogranin A and neuron specific enolase (NSE) is common in neuroendocrine neoplasms.
Specifications
| Chromogranin A | |
| Polyclonal | |
| Unconjugated | |
| Chga | |
| AL-11; AL26; Beta-granin; betagranin (N-terminal fragment of chromogranin A); catestatin; CgA; CHGA; ChrA; chromofungin; chromogranin A; chromogranin A (parathyroid secretory protein 1); chromogranin A precursor; chromogranin-A; CTNNB; DKFZp686D02253; EA-92; ER-37; ES-43; FLJ25606; FLJ37923; GE-25; GR-44; GV-19; LF-19; LOW QUALITY PROTEIN: chromogranin-A; MGC105435; Pancreastatin; Parastatin; parathyroid secretory protein 1; p-Glu serpinin precursor; pituitary secretory protein I; Serpinin; Serpinin-RRG; SL21; SP-I; SS-18; Vasostatin I; Vasostatin II; Vasostatin-1; Vasostatin-2; WA-8; WE-14 | |
| Rabbit | |
| Antigen affinity chromatography | |
| RUO | |
| 1113 | |
| Store at 4°C short term. For long term storage, store at -20°C, avoiding freeze/thaw cycles. | |
| Liquid |
| Immunohistochemistry (Paraffin), Western Blot, Immunocytochemistry | |
| 0.10 mg/mL | |
| PBS with 40% glycerol and 0.02% sodium azide; pH 7.2 | |
| P10645 | |
| Chga | |
| Recombinant Protein corresonding to Human Chromogranin A. Recombinant protein control fragment (Product #RP-96603). | |
| 100 μL | |
| Primary | |
| Human | |
| Antibody | |
| IgG |
Safety and Handling
WARNING: Cancer - www.P65Warnings.ca.gov
Product Content Correction
Your input is important to us. Please complete this form to provide feedback related to the content on this product.
Product Title
Spot an opportunity for improvement?Share a Content Correction