Promotional price valid on web orders only. Your contract pricing may differ. Interested in signing up for a dedicated account number?
Learn More
Learn More
Invitrogen™ CISD2 Polyclonal Antibody

Rabbit Polyclonal Antibody
Supplier: Invitrogen™ PA5106299
Description
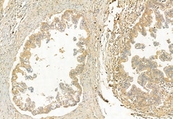
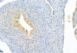
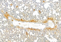
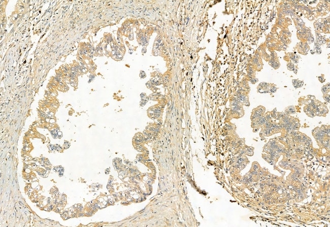
Antibody detects endogenous levels of total CISD2.
Defects in the CISD2 (CDGSH iron sulfur domain 2) gene are a cause of the neurodegenerative disorder Wolfram syndrome 2. CISD2 is a zinc finger protein that localizes to the endoplasmic reticulum and mitochondria and binds an iron/sulfur cluster. CISD2 interacts with Bcl-2 and can be displaced by the BH3-only protein BIK and contributes to the regulation of BIK-initiated autophagy. CISD2 deficiency in mice causes mitochondrial breakdown accompanied by autophagic cell death as well as the development of premature aging phenotype.
Specifications
| CISD2 | |
| Polyclonal | |
| Unconjugated | |
| CISD2 | |
| 1500009M05Rik; 1500026J14Rik; 1500031D15Rik; AI848398; B630006A20Rik; BcDNA:RE49709; CDGSH iron sulfur domain 2; CDGSH iron sulfur domain-containing protein 2; CDGSH iron-sulfur domain-containing protein 2; CDGSH iron-sulfur domain-containing protein 2 homolog; Cdgsh2; CG1458; CG1458-PA; cisd2; Cisd2-PA; dkey-162b23.1; Dmel\CG1458; Dmel_CG1458; dWFS2; endoplasmic reticulum intermembrane small protein; ERIS; Miner1; MitoNEET; mitoNEET related 1; mitoNEET-related 1 protein; NAF-1; nervous system overexpressed protein 70; nervous system over-expressed protein 70; Noxp70; Nutrient-deprivation autophagy factor-1; RE49709p; RGD1566242; RH38554p; WFS2; Zcd2; zgc:64148; zgc:64148 protein; zinc finger, CDGSH-type domain 2; zKM0001 | |
| Rabbit | |
| Affinity Chromatography | |
| RUO | |
| 295457, 493856, 67006 | |
| -20°C | |
| Liquid |
| Immunohistochemistry (Paraffin), Western Blot | |
| 1 mg/mL | |
| PBS with 50% glycerol and 0.02% sodium azide; pH 7.4 | |
| Q8N5K1, Q9CQB5 | |
| CISD2 | |
| A synthesized peptide derived from human CISD2(Accession Q8N5K1), corresponding to amino acid residues V83-K133. | |
| 100 μL | |
| Primary | |
| Human, Mouse, Rat | |
| Antibody | |
| IgG |
Safety and Handling
WARNING: Cancer - www.P65Warnings.ca.gov
Product Content Correction
Your input is important to us. Please complete this form to provide feedback related to the content on this product.
Product Title
Spot an opportunity for improvement?Share a Content Correction