Learn More
Citrate Synthase Recombinant Rabbit Monoclonal Antibody (JU80-30)

Specifications
Specifications
| Antigen | Citrate Synthase |
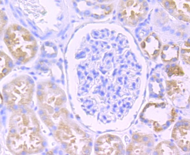
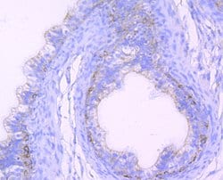
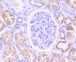
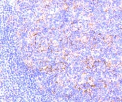
| Applications | Flow Cytometry, Immunohistochemistry (Paraffin), Western Blot |
| Classification | Recombinant Monoclonal |
| Clone | JU80-30 |
| Concentration | 1 mg/mL |
| Conjugate | Unconjugated |
| Formulation | TBS with 0.05% BSA, 40% glycerol and 0.05% sodium azide; pH 7.4 |
| Gene | CS |
| Gene Accession No. | O75390, Q8VHF5, Q9CZU6 |
| Gene Alias | 2610511A05Rik; 9030605P22Rik; Ahl4; BB234005; Cis; citrate (Si)-synthase; citrate synthase; citrate synthase precursor (EC 4.1.3.7); citrate synthase, mitochondrial; citrate synthetase; Cs; wu:fb58e04; zgc:55507 |
| Show More |
Safety and Handling
By clicking Submit, you acknowledge that you may be contacted by Fisher Scientific in regards to the feedback you have provided in this form. We will not share your information for any other purposes. All contact information provided shall also be maintained in accordance with our Privacy Policy.