Promotional price valid on web orders only. Your contract pricing may differ. Interested in signing up for a dedicated account number?
Learn More
Learn More
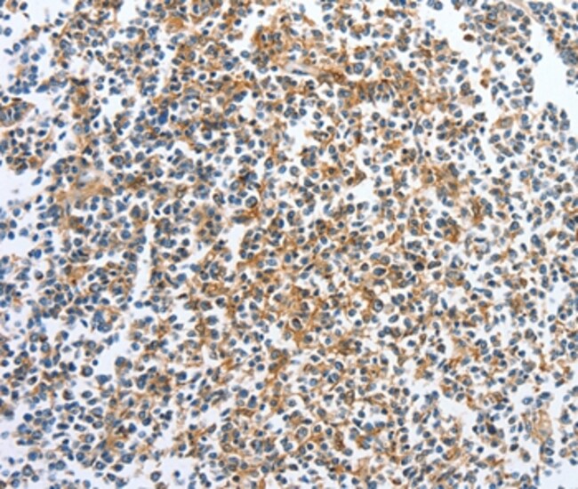
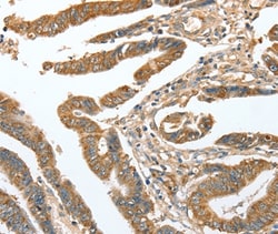
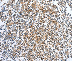
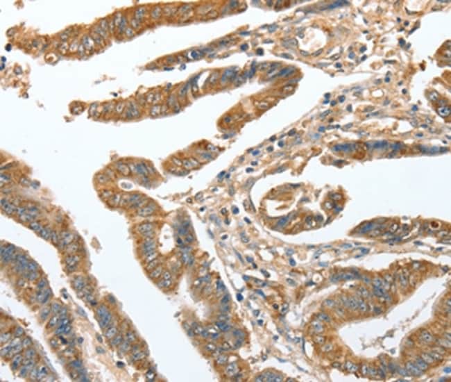
Invitrogen™ CKAP2 Polyclonal Antibody

Rabbit Polyclonal Antibody
Supplier: Invitrogen™ PA550381
Description
The antibody detects endogenous levels of total CKAP2 protein.
Nedd4-binding partner-1 (N4BP1) is a developmentally expressed protein interactor and monoubiquitylation substrate of Nedd4, a HECT domain-containing ubiquitin ligase that mediates ubiquitylation and proteasome degradation of target proteins and may have a fundamental role to play in embryonic processes. N4BP1 can undergo Nedd4-mediated polyubiquitylation and proteosomal degradation. N4BP1 also functions as a negative regulator of AIF4 (also known as ITCH or Atrophin-1), an E3-ubiquitin ligase, by interacting with the second WW domain of AIF4 and impairing ubiquitination of substrates.
Specifications
CKAP2 | |
Polyclonal | |
Unconjugated | |
CKAP2 | |
AI461656; AW228814; Ckap2; CTCL tumor antigen se20-10; cytoskeleton associated protein 2; cytoskeleton-associated protein 2; LB1; se20-10; TMAP; Tumor- and microtubule-associated protein; tumor-associated microtubule-associated protein | |
Rabbit | |
Antigen affinity chromatography | |
RUO | |
26586 | |
-20°C | |
Liquid |
Immunohistochemistry (Paraffin) | |
2.9 mg/mL | |
PBS with 40% glycerol and 0.05% sodium azide; pH 7.4 | |
Q8WWK9 | |
CKAP2 | |
Full length fusion protein of Human CKAP2. | |
100 μL | |
Primary | |
Human | |
Antibody | |
IgG |
Product Content Correction
Your input is important to us. Please complete this form to provide feedback related to the content on this product.
Product Title
Spot an opportunity for improvement?Share a Content Correction