Promotional price valid on web orders only. Your contract pricing may differ. Interested in signing up for a dedicated account number?
Learn More
Learn More
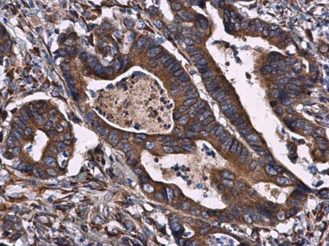
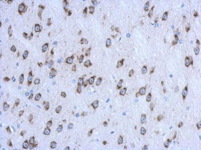
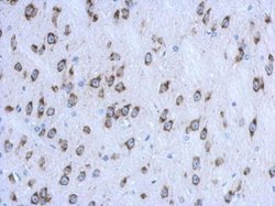
Invitrogen™ CKAP4 Polyclonal Antibody

Rabbit Polyclonal Antibody
Supplier: Invitrogen™ PA531639
Description
Recommended positive controls: A549, HeLa, HepG2, HCT116, MDA-MB-231, aortic smooth muscle. Store product as a concentrated solution. Centrifuge briefly prior to opening the vial.
This gene encodes the coiled-coil containing protein optineurin. Optineurin may play a role in normal-tension glaucoma and adult-onset primary open angle glaucoma. Optineurin interacts with adenovirus E3-14. 7K protein and may utilize tumor necrosis factor-alpha or Fas-ligand pathways to mediate apoptosis, inflammation or vasoconstriction. Optineurin may also function in cellular morphogenesis and membrane trafficking, vesicle trafficking, and transcription activation through its interactions with the RAB8, huntingtin, and transcription factor IIIA proteins. Alternative splicing results in multiple transcript variants encoding the same protein.
Specifications
| CKAP4 | |
| Polyclonal | |
| Unconjugated | |
| CKAP4 | |
| 5630400A09Rik; 63 kDa membrane protein; 63-kDa cytoskeleton-linking membrane protein; CKAP4; Climp-63; cytoskeleton associated protein 4; cytoskeleton-associated protein 4; ERGIC-63; LPC-1; p63; transmembrane protein (63kD), endoplasmic reticulum/Golgi intermediate compartment; type-II transmembrane protein p63 | |
| Rabbit | |
| Antigen affinity chromatography | |
| RUO | |
| 10970 | |
| Store at 4°C short term. For long term storage, store at -20°C, avoiding freeze/thaw cycles. | |
| Liquid |
| Immunohistochemistry (Paraffin), Immunoprecipitation, Western Blot, Immunocytochemistry | |
| 1.19 mg/mL | |
| PBS with 20% glycerol; pH 7 | |
| Q07065 | |
| CKAP4 | |
| Recombinant protein encompassing a sequence within the Extracellular domain of human CKAP4. The exact sequence is proprietary. | |
| 100 μL | |
| Primary | |
| Human | |
| Antibody | |
| IgG |
Safety and Handling
WARNING: Cancer - www.P65Warnings.ca.gov
Product Content Correction
Your input is important to us. Please complete this form to provide feedback related to the content on this product.
Product Title
Spot an opportunity for improvement?Share a Content Correction