Promotional price valid on web orders only. Your contract pricing may differ. Interested in signing up for a dedicated account number?
Learn More
Learn More
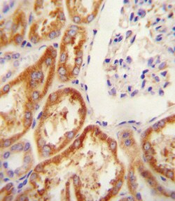
Invitrogen™ Claudin 16 Polyclonal Antibody

Rabbit Polyclonal Antibody
Supplier: Invitrogen™ PA523939
Description
Claudin 16 Polyclonal Antibody for Western Blot, IHC (P), Flow
Tight junction group of proteins are a cell-to-cell adhesion structure in epithelial cells that constitute the epithelial junctional complex with adherens junctions and desmosomes. Tight junction strands are mainly composed of claudins, occludin, and JAM. Claudin-16 belongs to the Claudin family of protein which is composed of 23 integral membrane proteins. Claudins are responsible for the formation of tight junction strands and are connected with the actin cytoskeleton mediated by ZO-1. Claudin 16, also known as Paracellin-1, is a renal tight junction protein required for paracellular magnesium resorption. It is localized in the intercellular junctions of the epithelial cells of the thick ascending limb of Henle's loop (a TAL marker) are used to localize this specific structure of nephrons in kidney sections. Mg2+ resorption occurs in TAL, and Claudin-16 is required for this paracellular function. Failure in renal 'handling' of magnesium can result in hypermagnesemia, whose major direct toxicity implications are cardiovascular as well as renal failure. Recent studies have shown that the lack of Claudin-16 proteins contributes to the dysfunction of paracellular renal transport systems.
Specifications
Claudin 16 | |
Polyclonal | |
Unconjugated | |
CLDN16 | |
claudin 16; claudin-16; claudin-16; LOW QUALITY PROTEIN: claudin-16; CLDN16; H59D2a protein; HOMG3; hypomagnesemia 3, with hypercalciuria and nephrocalcinosis; paracellin-1; PCLN1; PCLN-1 | |
Rabbit | |
Antigen affinity chromatography, Protein A | |
RUO | |
10686 | |
Store at 4°C short term. For long term storage, store at -20°C, avoiding freeze/thaw cycles. | |
Liquid |
Flow Cytometry, Immunohistochemistry (Paraffin), Western Blot | |
0.4 mg/mL | |
PBS with 0.09% sodium azide; pH 7.4 | |
Q9Y5I7 | |
CLDN16 | |
KLH conjugated synthetic peptide between 6-33 amino acids from the N-terminal region of human CLDN16. | |
400 μL | |
Primary | |
Human | |
Antibody | |
IgG |
Product Content Correction
Your input is important to us. Please complete this form to provide feedback related to the content on this product.
Product Title
Spot an opportunity for improvement?Share a Content Correction