Promotional price valid on web orders only. Your contract pricing may differ. Interested in signing up for a dedicated account number?
Learn More
Learn More
Invitrogen™ Claudin 18 Polyclonal Antibody

Rabbit Polyclonal Antibody
Supplier: Invitrogen™ PA5141082
This item is not returnable.
View return policy
Description
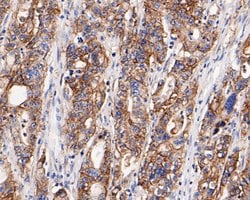
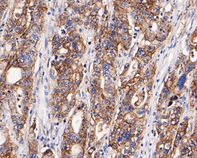
Claudin 18 Polyclonal Antibody for Western Blot, IHC (P)
Claudin-18 is a tight junction protein expressed as lung-and stomach-specific isoforms which are generated by alternative splicing of the claudin-18 gene. The lung-specific form is a downstream target gene regulated by the T/EBP/NKX2.1 transcription factor. A splice variant lacking the C-terminal cytoplasmic domain also exists in mouse, but has not been confirmed in human. Human claudin-18 demonstrates 88% amino acid sequence identity to the mouse protein. Immunohistochemical studies have demonstrated complete membrane localization of claudin-18 in lung and stomach epithelial cells, while electron microscopy has shown that it is concentrated in the cell-cell borders of these cells. These features suggest a potentially important role for claudin-18 in the structure and function of tight junctions in the lung and stomach. Claudin-18 expression has also been reported in the inner ear.
Specifications
Claudin 18 | |
Polyclonal | |
Unconjugated | |
Cldn18 | |
claudin 18; claudin 18-like; claudin-18; CLDN18; SFTA5; SFTPJ; surfactant associated 5; surfactant associated protein J; surfactant, pulmonary associated protein J; UNQ778/PRO1572 | |
Rabbit | |
Antigen Affinity Chromatography | |
RUO | |
51208 | |
Store at 4°C short term. For long term storage, store at -20°C, avoiding freeze/thaw cycles. | |
Liquid |
Immunohistochemistry (Paraffin), Western Blot | |
1 mg/mL | |
TBS with 0.2% BSA, 50% glycerol and 0.05% sodium azide; pH 7.4 | |
P56856 | |
Cldn18 | |
Synthetic peptide within C-terminal human Claudin18. | |
100 μL | |
Primary | |
Human | |
Antibody | |
IgG |
Product Content Correction
Your input is important to us. Please complete this form to provide feedback related to the content on this product.
Product Title
Spot an opportunity for improvement?Share a Content Correction