Promotional price valid on web orders only. Your contract pricing may differ. Interested in signing up for a dedicated account number?
Learn More
Learn More
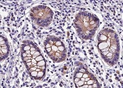
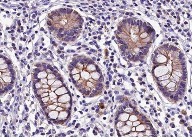
Invitrogen™ Claudin 5 Polyclonal Antibody

Rabbit Polyclonal Antibody
Supplier: Invitrogen™ PA599415
Description
Antibody detects endogenous levels of total Claudin 5.
This gene encodes a member of the claudin family. Claudins are integral membrane proteins and components of tight junction strands. Tight junction strands serve as a physical barrier to prevent solutes and water from passing freely through the paracellular space between epithelial or endothelial cell sheets, and also play critical roles in maintaining cell polarity and signal transductions. Differential expression of this gene has been observed in different types of malignancies, including breast cancer, ovarian cancer, hepatocellular carcinomas, urinary tumors, prostate cancer, lung cancer, head and neck cancers, thyroid carcinomas, etc. Alternatively spliced transcript variants encoding different isoforms have been found.
Specifications
Claudin 5 | |
Polyclonal | |
Unconjugated | |
CLDN5 | |
AI854493; AWAL; BEC1; Brain endothelial cell clone 1 protein; claudin 5; claudin 5 (transmembrane protein deleted in velocardiofacial syndrome); claudin-5; claudin-5 protein; Cldn5; CPETRL1; lung-specific membrane protein; MBEC1; TMDVCF; TMVCF; Transmembrane protein deleted in VCFS; transmembrane protein deleted in velocardiofacial syndrome; Unknown (protein for MGC:138054) | |
Rabbit | |
Affinity chromatography | |
RUO | |
12741, 396997, 617453, 65131, 7122 | |
-20°C | |
Liquid |
Immunohistochemistry (Paraffin), Western Blot, Immunocytochemistry | |
1 mg/mL | |
PBS with 50% glycerol and 0.02% sodium azide; pH 7.4 | |
O00501, O54942, Q2HJ22, Q9JKD6 | |
CLDN5 | |
A synthesized peptide derived from human CLDN5(Accession O00501), corresponding to amino acid residues L181-V218. | |
100 μL | |
Primary | |
Human, Mouse, Rat, Monkey, Bovine, Pig | |
Antibody | |
IgG |
Safety and Handling
WARNING: Cancer - www.P65Warnings.ca.gov
Product Content Correction
Your input is important to us. Please complete this form to provide feedback related to the content on this product.
Product Title
Spot an opportunity for improvement?Share a Content Correction