Promotional price valid on web orders only. Your contract pricing may differ. Interested in signing up for a dedicated account number?
Learn More
Learn More
Invitrogen™ CLCN2 Polyclonal Antibody

Rabbit Polyclonal Antibody
Supplier: Invitrogen™ PA5119888
This item is not returnable.
View return policy
Description
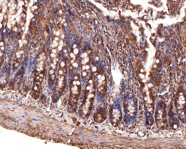
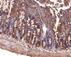
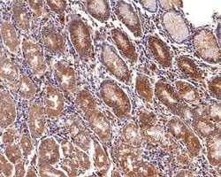
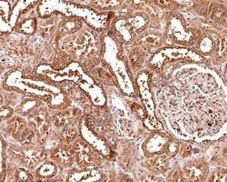
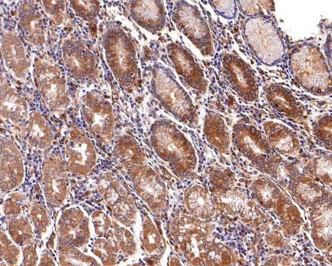
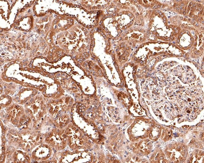
Positive Control: HepG2 cell lysate, 293 cell lysate, human kidney tissue, human stomach tissue, rat colon tissue. Subcellular Location: Cell membrane.
The transmembrane protein encoded by this gene is a voltage-gated chloride channel that maintains chloride ion homeostasis in various cells. Defects in this gene may be a cause of certain epilepsies. Four transcript variants encoding different isoforms have been found for this gene.
Specifications
| CLCN2 | |
| Polyclonal | |
| Unconjugated | |
| CLCN2 | |
| AL118368; chloride channel 2; chloride channel protein 2; chloride channel, voltage-sensitive 2; chloride voltage-gated channel 2; CIC 2; CIC2; CIC-2; Clc2; ClC-2; CLCN2; ECA2; ECA3; EG13; EGI11; EGI3; EGMA; EJM6; EJM8; LKPAT; nmf240 | |
| Rabbit | |
| Antigen affinity chromatography | |
| RUO | |
| 1181, 29232 | |
| Store at 4°C short term. For long term storage, store at -20°C, avoiding freeze/thaw cycles. | |
| Liquid |
| Flow Cytometry, Immunohistochemistry (Paraffin), Western Blot, Immunocytochemistry | |
| 1 mg/mL | |
| TBS with 0.2% BSA, 50% glycerol and 0.05% sodium azide; pH 7.4 | |
| P35525, P51788 | |
| CLCN2 | |
| Recombinant protein within human ClC2 aa 631-830. | |
| 100 μL | |
| Primary | |
| Human, Rat | |
| Antibody | |
| IgG |
Safety and Handling
WARNING: Cancer - www.P65Warnings.ca.gov
Product Content Correction
Your input is important to us. Please complete this form to provide feedback related to the content on this product.
Product Title
Spot an opportunity for improvement?Share a Content Correction