Promotional price valid on web orders only. Your contract pricing may differ. Interested in signing up for a dedicated account number?
Learn More
Learn More
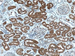
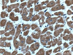
CLIC4 Mouse anti-Human, Porcine, Rat, Clone: 1B7F9, Proteintech

Mouse Monoclonal Antibody
$518.60
Specifications
| Antigen | CLIC4 |
|---|---|
| Clone | 1B7F9 |
| Concentration | 1 mg/mL |
| Applications | Immunohistochemistry (Paraffin), Western Blot |
| Classification | Monoclonal |
| Catalog Number | Mfr. No. | Quantity | Price | Quantity & Availability | |||||
|---|---|---|---|---|---|---|---|---|---|
| Catalog Number | Mfr. No. | Quantity | Price | Quantity & Availability | |||||
50-173-6774
![]()
|
Proteintech Group Inc
663431IG150UL |
150 μL |
Each of 1 for $518.60
|
|
|||||
Description
Chloride channels are a diverse group of proteins that regulate fundamental cellular processes including stabilization of cell membrane potential, transepithelial transport, maintece of intracellular pH, and regulation of cell volume. Chloride intracellular channel 4 (CLIC4) protein, encoded by the CLIC4 gene, is a member of the p64 family; the gene is expressed in many tissues and exhibits a intracellular vesicular pattern in Panc-1 cells (pancreatic cancer cells).Specifications
| CLIC4 | |
| 1 mg/mL | |
| Monoclonal | |
| Liquid | |
| RUO | |
| PBS with 50% glycerol and 0.02% sodium azide; pH 7.3 | |
| CLIC4, CLIC4L, H1, huH1, MTCLIC, p64H1 | |
| CLIC4 | |
| IgG1 | |
| Protein G | |
| Antibody |
| 1B7F9 | |
| Immunohistochemistry (Paraffin), Western Blot | |
| Unconjugated | |
| Mouse | |
| Human, Pig, Rat | |
| Q9Y696, Q9Z0W7 | |
| 100622787, 25932, 83718 | |
| CLIC4 Fusion Protein Ag2942 | |
| Primary | |
| -20°C | |
| CLIC4 |
Spot an opportunity for improvement?Share a Content Correction
Product Content Correction
The Fisher Scientific Encompass Program offers items which are not part of our distribution portfolio. These products typically do not have pictures or detailed descriptions. However, we are committed to improving your shopping experience. Please use the form below to provide feedback related to the content on this product.
Product Title