Promotional price valid on web orders only. Your contract pricing may differ. Interested in signing up for a dedicated account number?
Learn More
Learn More
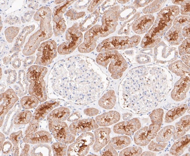
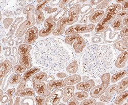
Invitrogen™ CLSTN1 Recombinant Rabbit Monoclonal Antibody (JE48-81)

Rabbit Recombinant Monoclonal Antibody
Supplier: Invitrogen™ MA536139
Description
CLSTN1 Recombinant Monoclonal Antibody for Western Blot, IHC (P)
CLSTN1 induces KLC1 association with vesicles and functions as a cargo in axonal anterograde transport. Complex formation with APBA2 and APP, CLSTN1 stabilizes APP metabolism and enhances APBA2-mediated suppression of beta-APP40 secretion, due to the retardation of intracellular APP maturation. In complex with APBA2 and C99, a C-terminal APP fragment, CLSTN1 abolishes C99 interaction with PSEN1 and thus APP C99 cleavage by gamma-secretase, most probably through stabilization of the direct interaction between APBA2 and APP. The intracellular fragment AlcICD suppresses APBB1-dependent transactivation stimulated by APP C-terminal intracellular fragment (AICD), most probably by competing with AICD for APBB1-binding.CLSTN1 may modulate calcium-mediated postsynaptic signals.
Specifications
| CLSTN1 | |
| Recombinant Monoclonal | |
| 1 mg/mL | |
| TBS with 0.05% BSA, 40% glycerol and 0.05% sodium azide; pH 7.4 | |
| O94985, Q9EPL2 | |
| CLSTN1 | |
| Recombinant protein within Human CLSTN1 aa 860-981. | |
| 100 μL | |
| Primary | |
| Human, Mouse | |
| Antibody | |
| IgG |
| Immunohistochemistry (Paraffin), Western Blot | |
| JE48-81 | |
| Unconjugated | |
| CLSTN1 | |
| 1810034E21Rik; alcadein alpha; alcadein-alpha; alc-alpha; alcalpha1; alcalpha2; Alzheimer-related cadherin-like protein; cadherin-related family member 12; calsyntenin 1; calsyntenin-1; CDHR12; CLSTN1; clstn1 protein; CS1; CST-1; CSTN1; C-terminal fragment 1-alpha; CTF1-alpha; FLJ32258; fm67g03; Kiaa0911; Non-classical cadherin XB31alpha; PIK3CD; SAlc-alpha; Soluble Alc-alpha; wu:fk52g02; wu:fm67g03; XB31alpha; zgc:153744; zgc:56528 | |
| Rabbit | |
| Affinity chromatography | |
| RUO | |
| 22883, 65945 | |
| Store at 4°C short term. For long term storage, store at -20°C, avoiding freeze/thaw cycles. | |
| Liquid |
Product Content Correction
Your input is important to us. Please complete this form to provide feedback related to the content on this product.
Product Title
Spot an opportunity for improvement?Share a Content Correction