Learn More
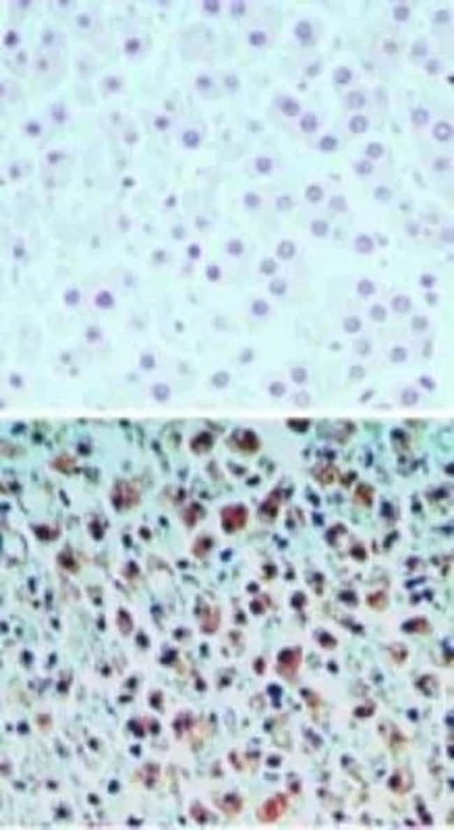
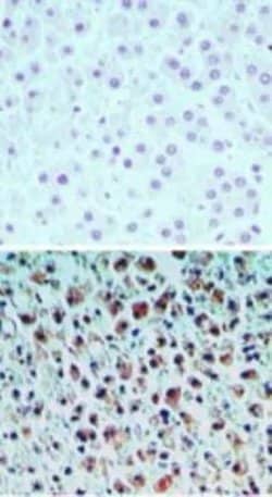
Invitrogen™ CNPY3 Polyclonal Antibody

Description
The amino acid sequence used as immunogen is 100% homologous in mouse and rat.
Specifications
Specifications
| Antigen | CNPY3 |
| Applications | Immunohistochemistry (Paraffin) |
| Classification | Polyclonal |
| Concentration | Conc. Not Determined |
| Conjugate | Unconjugated |
| Formulation | Whole serum with 50% glycerol and 0.025% sodium azide |
| Gene | CNPY3 |
| Gene Accession No. | Q9BT09 |
| Gene Alias | 1600025D17Rik; 2410050O22Rik; AI413153; CAG repeat containing; CAG/CTG 5; CAG4A; canopy 3 homolog; canopy 3 homolog (zebrafish); canopy FGF signaling regulator 3; CNPY3; CTG repeat protein 4a; CTG4A; ERDA5; expanded repeat-domain protein CAG/CTG 5; HSPC084; Prat4a; protein associated with TLR4; protein associated with Toll-like receptor 4A; protein canopy homolog 3; Tnrc5; trinucleotide repeat containing 5; trinucleotide repeat-containing gene 5 protein; Unknown (protein for MGC:140466); UNQ1934/PRO4409 |
| Gene Symbols | CNPY3 |
| Show More |
By clicking Submit, you acknowledge that you may be contacted by Fisher Scientific in regards to the feedback you have provided in this form. We will not share your information for any other purposes. All contact information provided shall also be maintained in accordance with our Privacy Policy.