Learn More
Invitrogen™ CNR2 Recombinant Rabbit Monoclonal Antibody (13H43L20)
Rabbit Recombinant Monoclonal Antibody
Supplier: Invitrogen™ 703485

Description
This antibody is predicted to react with Rat, Bovine.
Cannabinoids exert their well known physiological effects through two G protein coupled receptors, cannabinoid receptor 1 (CB1) and CB2. Both cannabinoid receptors have been shown to inhibit adenylyl cyclase as well as stimulate the mitogen-activated protein kinase, MAPK. CB1 receptors also modulate ion channels through direct G-protein interactions. Delta 9-tetrahydrocannibinol and related ligands likely exert their psychoactive effects by inhibiting presynaptic N- and P/Q type calcium channels. CB2 is thought to function primarily in the immune system although it has been suggested to be present in the central nervous system, including the retina.
Specifications
CNR2 | |
Recombinant Monoclonal | |
0.5 mg/mL | |
PBS with 0.09% sodium azide; pH 7.4 | |
P34972, P47936 | |
CNR2 | |
Peptides corresponding to human CNR2 [1) aa341-aa360, 2) aa5-aa25, 3) aa2-25]. | |
100 μg | |
Primary | |
Human, Mouse | |
Antibody | |
IgG |
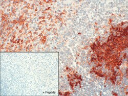
Immunohistochemistry, Western Blot, Immunocytochemistry | |
13H43L20 | |
Unconjugated | |
CNR2 | |
Cannabinoid Receptor 2; cannabinoid receptor 2 (macrophage); CB2; CB-2; CB2 receptor; CB2A; CB2B; CB2C; CB2R; CB2-R; CNR2; CNR2C; CNR3; CX5; HCB2; HGNC:2160; OTTHUMP00000044841; peripheral cannabinoid receptor; rCB2; RP11-4M23.1; testis-dominant CNR2 isoform CB2 | |
Rabbit | |
Protein A | |
RUO | |
1269, 12802 | |
Store at 4°C short term. For long term storage, store at -20°C, avoiding freeze/thaw cycles. | |
Liquid |
Safety and Handling
The Fisher Scientific Encompass Program offers items which are not part of our distribution portfolio. These products typically do not have pictures or detailed descriptions. However, we are committed to improving your shopping experience. Please use the form below to provide feedback related to the content on this product.