Promotional price valid on web orders only. Your contract pricing may differ. Interested in signing up for a dedicated account number?
Learn More
Learn More
Invitrogen™ COBRA1 Polyclonal Antibody

Rabbit Polyclonal Antibody
Supplier: Invitrogen™ PA5118113
This item is not returnable.
View return policy
Description
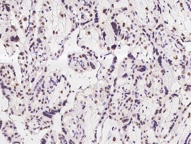
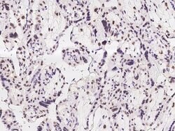
COBRA1 Polyclonal Antibody for Western Blot, ICC/IF, IHC (P), IP
NELFB is a subunit of negative elongation factor (NELF), which also includes NELFA (WHSC2), either NELFC or NELFD (TH1L), and NELFE (RDBP), a heterodimer of SPT4 (SUPT4H1), to cause transcriptional pausing of RNA polymerase II (Narita et al., 2003).
Specifications
COBRA1 | |
Polyclonal | |
PBS with 0.03% ProClin 300; pH 7 | |
Q8WX92 | |
NELFB | |
E. coli-derived Human COBRA1/NELFB fragment. | |
100 μL | |
Primary | |
Human | |
Antibody | |
IgG |
Immunohistochemistry (Paraffin), Immunoprecipitation, Western Blot, Immunocytochemistry | |
Unconjugated | |
NELFB | |
A730008L03Rik; AB041607; AI663983; Cobra1; cofactor of BRCA1; DKFZp586B0519; KIAA1182; MNCb-5210; Negative elongation factor B; negative elongation factor complex member B; negative elongation factor complex member B, Cobra1; negative elongation factor protein B; NELFB; NELF-B; ortholog of human cofactor of BRCA1 (COBRA1); RGD1307832; RP13-122B23.3 | |
Rabbit | |
Antigen affinity chromatography, Protein A | |
RUO | |
25920 | |
-20°C, Avoid Freeze/Thaw Cycles | |
Liquid |
Product Content Correction
Your input is important to us. Please complete this form to provide feedback related to the content on this product.
Product Title
Spot an opportunity for improvement?Share a Content Correction