Promotional price valid on web orders only. Your contract pricing may differ. Interested in signing up for a dedicated account number?
Learn More
Learn More
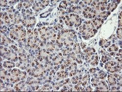
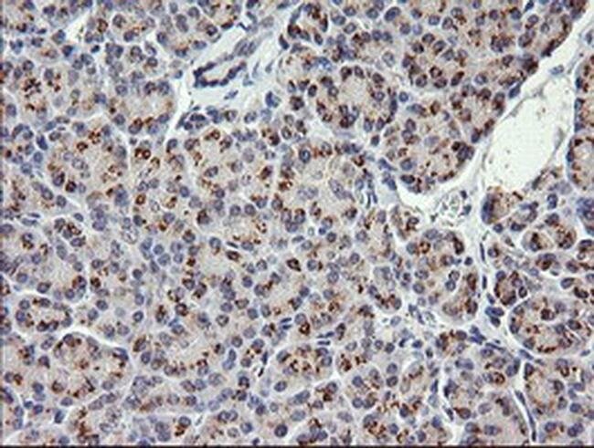
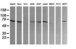
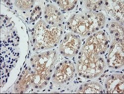
COG6 Monoclonal Antibody (OTI1B8), TrueMAB™, OriGene

Mouse Monoclonal Antibody
Supplier: OriGene TA505418

Description
This gene encodes a subunit of the conserved oligomeric Golgi complex that is required for maintaining normal structure and activity of the Golgi apparatus. The encoded protein is organized with conserved oligomeric Golgi complex components 5, 7 and 8 into a sub-complex referred to as lobe B. Alternative splicing results in multiple transcript variants.Specifications
COG6 | |
Monoclonal | |
1 mg/mL | |
PBS with 1% BSA, 50% glycerol and 0.02% sodium azide | |
Q9Y2V7 | |
COG6 | |
Full length human recombit protein of human COG6 produced in HEK293T cell. | |
100 μL | |
Primary | |
Human | |
Antibody | |
IgG1 |
Immunocytochemistry, Immunofluorescence, Immunohistochemistry (Paraffin), Western Blot | |
OTI1B8 | |
Unconjugated | |
COG6 | |
CDG2L, COD2, SHNS | |
Mouse | |
Affinity Chromatography | |
RUO | |
57511 | |
-20° C, Avoid Freeze/Thaw Cycles | |
Liquid |
Product Content Correction
The Fisher Scientific Encompass Program offers items which are not part of our distribution portfolio. These products typically do not have pictures or detailed descriptions. However, we are committed to improving your shopping experience. Please use the form below to provide feedback related to the content on this product.
Product Title
Spot an opportunity for improvement?Share a Content Correction