Promotional price valid on web orders only. Your contract pricing may differ. Interested in signing up for a dedicated account number?
Learn More
Learn More
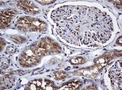
COG6 Monoclonal Antibody (OTI2D8), TrueMAB™, OriGene

Mouse Monoclonal Antibody
Supplier: OriGene TA505531S
Description
COG6 Monoclonal antibody specifically detects COG6 in Human samples. It is validated for Immunohistochemistry (Paraffin), Western BlotSpecifications
| COG6 | |
| Monoclonal | |
| 1 mg/mL | |
| PBS with 1% BSA, 50% glycerol and 0.02% sodium azide | |
| P02489 | |
| Mouse | |
| Affinity chromatography | |
| RUO | |
| 102724652, 1409 | |
| -20° C, Avoid Freeze/Thaw Cycles | |
| IgG2b |
| Immunohistochemistry (Paraffin), Western Blot | |
| OTI2D8 | |
| Unconjugated | |
| CRYAA2 | |
| 4933405E16Rik; AU018618; CDG2L; COD2; COG complex subunit 6; COG6; complexed with Dor1p 2; component of oligomeric golgi complex 6; conserved oligomeric Golgi complex protein 6; conserved oligomeric Golgi complex subunit 6; Conserved oligomeric Golgi complex subunit 6-like protein; hypothetical protein MGC56117; KIAA1134; LOW QUALITY PROTEIN: conserved oligomeric Golgi complex subunit 6; mKIAA1134; SHNS; si:ch211-203f4.1; testicular tissue protein Li 41; zgc:56117 | |
| Full length human recombinant protein of human CRYAA produced in HEK293T cell. | |
| 30 μL | |
| Primary | |
| Human | |
| Liquid |
Product Content Correction
The Fisher Scientific Encompass Program offers items which are not part of our distribution portfolio. These products typically do not have pictures or detailed descriptions. However, we are committed to improving your shopping experience. Please use the form below to provide feedback related to the content on this product.
Product Title
Spot an opportunity for improvement?Share a Content Correction