Promotional price valid on web orders only. Your contract pricing may differ. Interested in signing up for a dedicated account number?
Learn More
Learn More
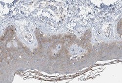
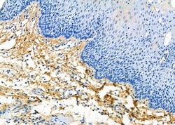
Invitrogen™ COL14A1 Polyclonal Antibody

Rabbit Polyclonal Antibody
Supplier: Invitrogen™ PA5118510
Description
Antibody detects endogenous levels of total Collagen XIV alpha 1.
Type XIV collagen is a fibril-associated collagen with an interrupted triple helix. It interacts with the fibril surface and regulates fibrillogenesis (Ansorge et al., 2009 [PubMed 19136672]).
Specifications
| COL14A1 | |
| Polyclonal | |
| Unconjugated | |
| COL14A1 | |
| 5730412L22Rik; AW108078; col14a1; Collagen alpha-1(XIV) chain; collagen type XIV alpha 1 chain; collagen, type XIV, alpha 1; collagen, type XIV, alpha 1 (undulin); procollagen, type XIV, alpha 1; UND; Undulin; undulin (fibronectin-tenascin-related) | |
| Rabbit | |
| Affinity Chromatography | |
| RUO | |
| 12818, 7373 | |
| -20°C | |
| Liquid |
| Immunohistochemistry (Paraffin), Western Blot, Immunocytochemistry | |
| 1 mg/mL | |
| PBS with 50% glycerol and 0.02% sodium azide; pH 7.4 | |
| Q05707, Q80X19 | |
| COL14A1 | |
| A synthesized peptide derived from human COL14A1(Accession Q05707), corresponding to amino acid residues P1732-V1782. | |
| 100 μL | |
| Primary | |
| Human, Mouse | |
| Antibody | |
| IgG |
Product Content Correction
Your input is important to us. Please complete this form to provide feedback related to the content on this product.
Product Title
Spot an opportunity for improvement?Share a Content Correction