Learn More
Collagen Type III Polyclonal Antibody, Rockland™

Rabbit Polyclonal Antibody
Supplier: Rockland Immunochemicals 6004011050.1
Description
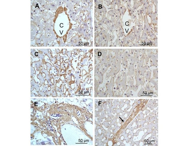
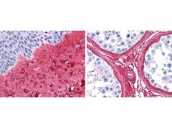
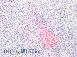
Store vial at 4°C prior to opening. This product is stable at 4°C as an undiluted liquid. Dilute only prior to immediate use. For extended storage, mix with an equal volume of glycerol, aliquot contents and freeze at -20°C or below. Avoid cycles of freezing and thawing. Typically negligible cross-reactivity against other types of collagens was detected by ELISA against purified standards. Some class-specific anti-collagens may be specific for three-dimensional epitopes which may result in diminished reactivity with denatured collagen or formalin-fixed, paraffin embedded tissues. This antibody reacts with most mammalian Type III collagens and has negligible cross-reactivity with Type I, II, IV, V or VI collagens. Non-specific cross-reaction of anti-collagen antibodies with other human serum proteins or non-collagen extracellular matrix proteins is negligible.
Collagen III is a fibrillar collagen that is found in extensible connective tissues such as skin, lung, and the vascular system, frequently in association with type I Collagen. Mutations in th gene are associated with Ehlers Danlos syndrome type IV , and with aortic and arterial aneurysms. Although alternate transcripts have been detected for this gene, they are the result of mutations; these mutations alter splicing, often leading to the exclusion of multiple exons.Specifications
| Collagen Type III | |
| Polyclonal | |
| Unconjugated | |
| Col3a1 | |
| alpha1 (III) collagen; AW550625; BOS_1540; COL 3; COL3; COL3 alpha 1; COL3A1; Col3a-1; Collagen 3; collagen alpha 1 type III; Collagen alpha-1(III) chain; collagen type III alpha 1 chain; collagen, fetal; collagen, type III, alpha 1; collagen, type III, alpha 1 (Ehlers-Danlos syndrome type IV, autosomal dominant); collagen, type III, alpha 1 chain, fibril forming; Collagen3; EDS4A; Ehlers-Danlos syndrome type IV, autosomal dominant; FLJ34534; LOC100009177; MGC93704; minisatellite 10w detected by probe MMS10; mKIAA4231; MMS10-W; Ms10w; pro alpha 1 type III collagen; procollagen, type III, alpha 1 | |
| Rabbit | |
| RUO | |
| 1281, 510833 | |
| Store at 4°C short term. For long term storage, store at -20°C, avoiding freeze/thaw cycles. | |
| Liquid |
| ELISA, Immunohistochemistry, Immunohistochemistry (Paraffin), Immunoprecipitation, Western Blot | |
| 1 mg/mL | |
| 0.02M potassium phosphate with 0.15M NaCl and 0.01% sodium azide; pH 7.2 | |
| P02461, P04258 | |
| Col3a1 | |
| 100 μg | |
| Primary | |
| Bovine, Human | |
| Antibody |
The Fisher Scientific Encompass Program offers items which are not part of our distribution portfolio. These products typically do not have pictures or detailed descriptions. However, we are committed to improving your shopping experience. Please use the form below to provide feedback related to the content on this product.