Promotional price valid on web orders only. Your contract pricing may differ. Interested in signing up for a dedicated account number?
Learn More
Learn More
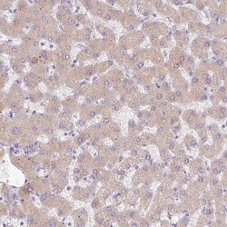
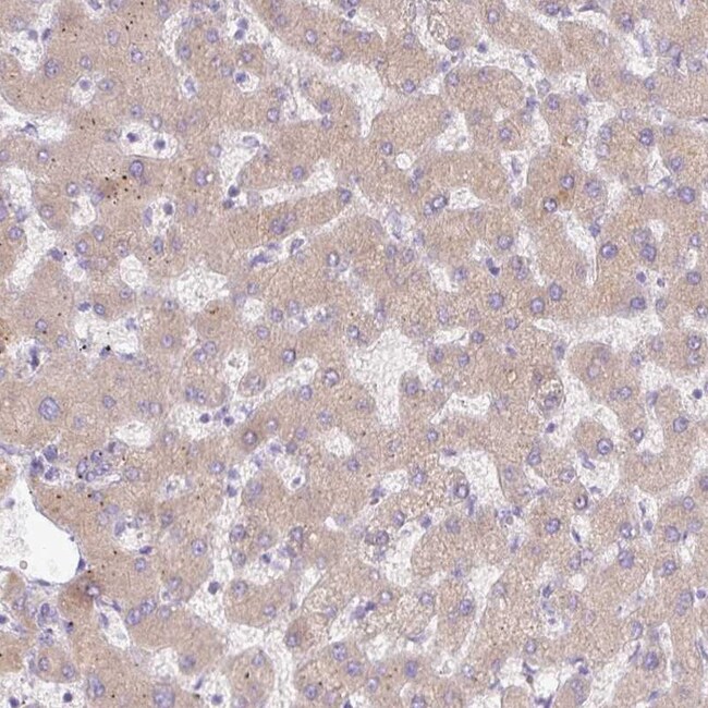
Invitrogen™ Complement C4a Polyclonal Antibody

Rabbit Polyclonal Antibody
Supplier: Invitrogen™ PA5111231
Description
Immunogen sequence: SCPKEKTTRK KRNVNFQKAI NEKLGQYASP TAKRCCQDGV TRLPMMRSCE QRAARVQQPD CREPFLSCCQ FAESLRKKSR DKGQAGLQRA LEI.
Complement C4a is a protein that is part of the complement system, which is a group of proteins that work together to help the immune system fight off infections. C4a is produced when the complement system is activated, and it plays a role in inflammation and the recruitment of immune cells to the site of infection. It is also involved in the clearance of immune complexes and the regulation of the complement system.
Specifications
Complement C4a | |
Polyclonal | |
Unconjugated | |
C4a | |
C4A; C4AD; CO4A; Complement C4-A | |
Rabbit | |
Antigen affinity chromatography | |
RUO | |
720 | |
Store at 4°C short term. For long term storage, store at -20°C, avoiding freeze/thaw cycles. | |
Liquid |
Immunohistochemistry (Paraffin) | |
0.10 mg/mL | |
PBS with 40% glycerol and 0.02% sodium azide; pH 7.2 | |
P0C0L4 | |
C4a | |
Recombinant Protein corresonding to Human Complement C4-A. Recombinant protein control fragment (Product #RP-104403). | |
100 μL | |
Primary | |
Human | |
Antibody | |
IgG |
Safety and Handling
WARNING: Cancer - www.P65Warnings.ca.gov
Product Content Correction
Your input is important to us. Please complete this form to provide feedback related to the content on this product.
Product Title
Spot an opportunity for improvement?Share a Content Correction