Promotional price valid on web orders only. Your contract pricing may differ. Interested in signing up for a dedicated account number?
Learn More
Learn More
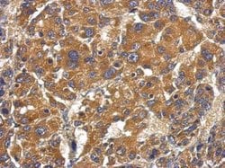
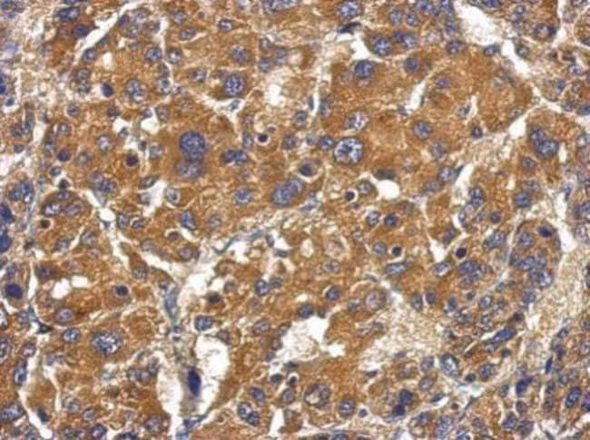
Invitrogen™ Complement Factor B Polyclonal Antibody

Rabbit Polyclonal Antibody
Supplier: Invitrogen™ PA527924
Description
Recommended positive controls: Raji, K562, Rat liver. Predicted reactivity: Mouse (84%), Rat (85%), Chimpanzee (98%). Store product as a concentrated solution. Centrifuge briefly prior to opening the vial.
Factor B is a component of the alternative complement pathway. The protein is a single chain polypeptide with a molecular mass of 93 kDa. Factor B is cleaved by factor D into the Ba component (30 kDa) and the Bb (63 kDa). Bb together with C3b forms the alternative pathway C3 convertase C3bBb.
Specifications
Complement Factor B | |
Polyclonal | |
Unconjugated | |
CFB | |
AHUS4; AI195813; AI255840; alternative-complement pathway C3/C5 convertase; ARMD14; B; BF; B-factor, properdin; BFD; C2; C3 proaccelerator; C3 proactivator; C3/C5 convertase; CFAB; CFB; CFBD; complement component 2 (within H-2S); complement factor B; Complement factor B Ba fragment; Complement factor B Bb fragment; Da1-24; DADB-122G4.5; Factor B; Fb; FBI12; GBG; glycine-rich beta glycoprotein; glycine-rich beta-glycoprotein; H2-Bf; histocompatibility 2, complement component factor B; PBF2; properdin; properdin factor B | |
Rabbit | |
Antigen affinity chromatography | |
RUO | |
14962, 294257, 629 | |
Store at 4°C short term. For long term storage, store at -20°C, avoiding freeze/thaw cycles. | |
Liquid |
Immunohistochemistry (Paraffin), Western Blot | |
0.87 mg/mL | |
0.1M tris glycine with 20% glycerol and 0.01% thimerosal; pH 7 | |
P00751, P04186 | |
CFB | |
Recombinant protein encompassing a sequence within the center region of human Factor B. The exact sequence is proprietary. | |
100 μL | |
Primary | |
Human, Mouse, Rat | |
Antibody | |
IgG |
Safety and Handling
WARNING: Cancer - www.P65Warnings.ca.gov
Product Content Correction
Your input is important to us. Please complete this form to provide feedback related to the content on this product.
Product Title
Spot an opportunity for improvement?Share a Content Correction