Learn More
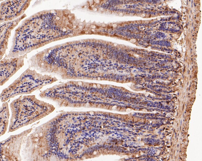
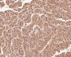
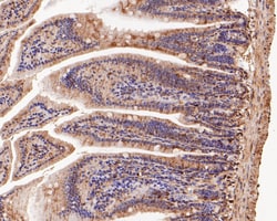
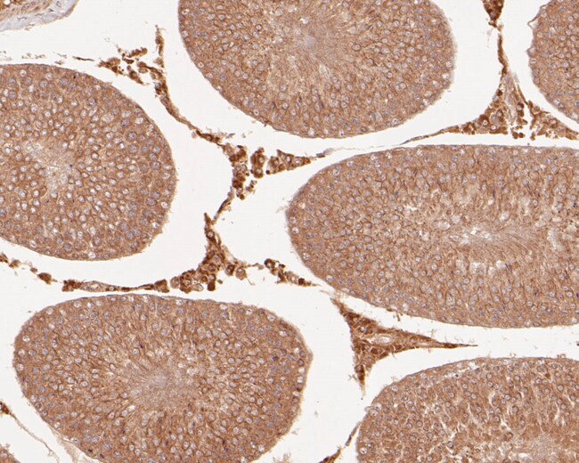
Connexin 26 Polyclonal Antibody

Description
Connexin 26 Polyclonal Antibody for Western Blot, IHC (P), Flow
Specifications
Specifications
| Antigen | Connexin 26 |
| Applications | Flow Cytometry, Immunohistochemistry (Paraffin), Western Blot |
| Classification | Polyclonal |
| Concentration | 1 mg/mL |
| Conjugate | Unconjugated |
| Formulation | PBS with 0.2% BSA, 50% glycerol and 0.05% sodium azide; pH 7.4 |
| Gene | Gjb2 |
| Gene Accession No. | P21994, P29033, Q00977 |
| Gene Alias | AI325222; Cnx26; connexin 26; connexin-26; CX26; CXN-26; DFNA3; DFNA3A; DFNB1; DFNB1A; Gap junction beta-2 protein; gap junction channel protein connexin 26; gap junction membrane channel protein beta 2; gap junction protein beta 2; gap junction protein, beta 2; gap junction protein, beta 2, 26kDa; GJB2; Gjb-2; HID; KID; mutant gap junction protein beta 2; NSRD1; PPK |
| Gene Symbols | Gjb2 |
| Show More |
By clicking Submit, you acknowledge that you may be contacted by Fisher Scientific in regards to the feedback you have provided in this form. We will not share your information for any other purposes. All contact information provided shall also be maintained in accordance with our Privacy Policy.