Promotional price valid on web orders only. Your contract pricing may differ. Interested in signing up for a dedicated account number?
Learn More
Learn More
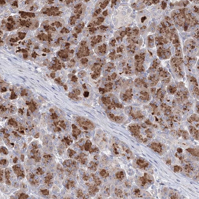
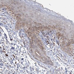
Invitrogen™ Connexin 31.1 Polyclonal Antibody

Rabbit Polyclonal Antibody
Supplier: Invitrogen™ PA558269
Description
Immunogen sequence: KRCHECLAAR KAQAMCTGHH PHGTTSSCKQ DDLLSGDLIF LGSDSHPPLL PDRPRDHVKK Highest antigen sequence identity to the following orthologs: Mouse - 57%, Rat - 57%.
The connexin family of proteins form hexameric complexes, called connexons, that facilitate movement of low molecular weight proteins between cells via gap junctions. Connexin proteins share a common topology of four transmembrane α-helical domains, two extracellular loops, a cytoplasmic loop and cytoplasmic N- and C-termini. Many of the key functional differences arise from specific amino acid substitutions in the most highly conserved domains; the transmembrane and extracellular regions. Connexin 31.1, Cx31.1 or Gap junction beta-5 protein, is a 271 amino acid protein that is predominantly expressed in skin with lower expression in testis. Expression of connexin 31.1 is required for normal placental development in mice. Down-regulation of the connexin 31.1 gene correlates with head and neck squamous cell carcinomas (HNSCC) and therefore it may be a potential therapeutic target.
Specifications
| Connexin 31.1 | |
| Polyclonal | |
| Unconjugated | |
| Gjb5 | |
| Cnx31.1; connexin 31.1; connexin-31.1; Cx31.1; Cxn-31.1; Gap junction beta-5 protein; gap junction membrane channel protein beta 5; gap junction protein beta 5; gap junction protein, beta 5; gap junction protein, beta 5 (connexin 31.1); gap junction protein, beta 5, 31.1kDa; gap junctional protein cx31.1; Gjb5; Gjb-5 | |
| Rabbit | |
| Antigen Affinity Chromatography | |
| RUO | |
| 2709 | |
| Store at 4°C short term. For long term storage, store at -20°C, avoiding freeze/thaw cycles. | |
| Liquid |
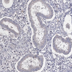
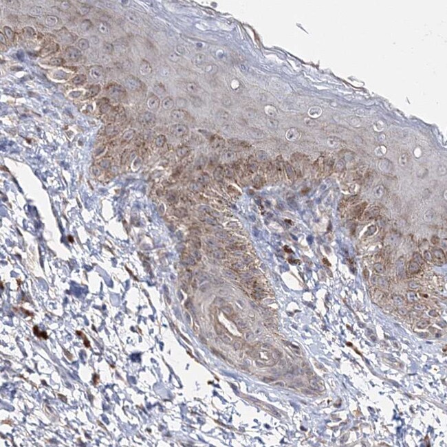
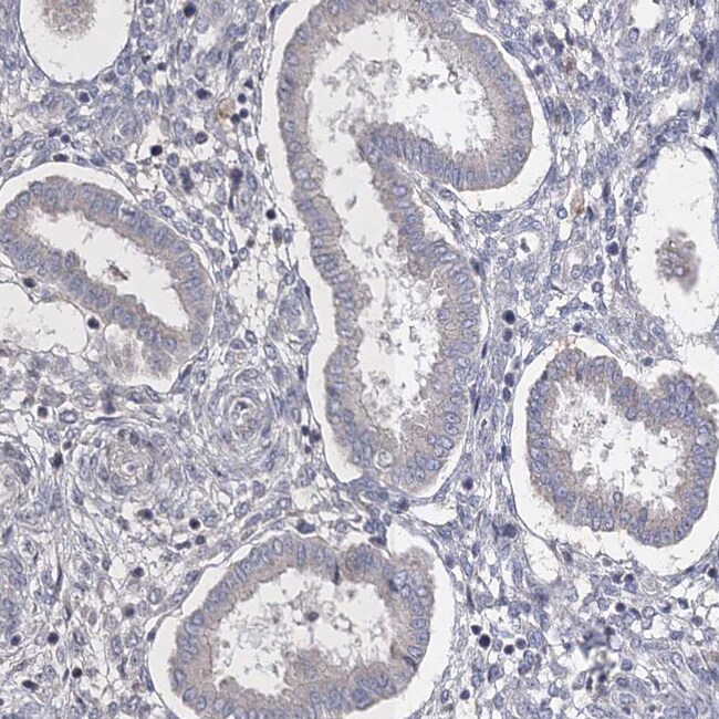
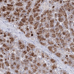
| Immunohistochemistry (Paraffin), Western Blot | |
| 0.20 mg/mL | |
| PBS with 40% glycerol and 0.02% sodium azide; pH 7.2 | |
| O95377 | |
| Gjb5 | |
| Recombinant protein corresponding to Human Connexin 31.1. Recombinant protein control fragment (Product #RP-95301). | |
| 100 μL | |
| Primary | |
| Human | |
| Antibody | |
| IgG |
Product Content Correction
Your input is important to us. Please complete this form to provide feedback related to the content on this product.
Product Title
Spot an opportunity for improvement?Share a Content Correction