Promotional price valid on web orders only. Your contract pricing may differ. Interested in signing up for a dedicated account number?
Learn More
Learn More
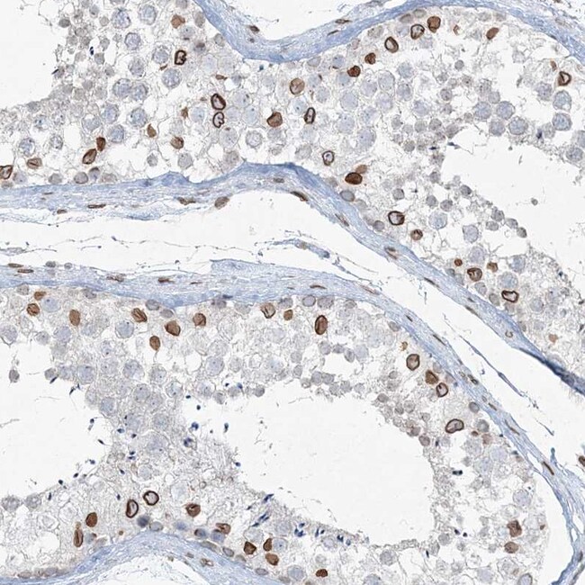
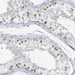
Invitrogen™ Connexin 40.1 Polyclonal Antibody

Rabbit Polyclonal Antibody
Supplier: Invitrogen™ PA558317
Description
Immunogen sequence: TDEEGGREEE GAPAPPGARA GGEGAGSPRR TSRVSGHTKI PDEDESEVTS SASEKLGRQP RGRPHREAAQ DPRGSG Highest antigen sequence identity to the following orthologs: Mouse - 35%, Rat - 32%.
Connexins, such as GJD4, are involved in the formation of gap junctions, intercellular conduits that directly connect the cytoplasms of contacting cells. Each gap junction channel is formed by docking of 2 hemichannels.
Specifications
Connexin 40.1 | |
Polyclonal | |
Unconjugated | |
GJD4 | |
connexin 40.1; connexin40.1; connexin-40.1; CX40.1; Gap junction delta-4 protein; gap junction protein delta 4; gap junction protein, delta 4, 40.1kDa; GJD4 | |
Rabbit | |
Antigen affinity chromatography | |
RUO | |
219770 | |
Store at 4°C short term. For long term storage, store at -20°C, avoiding freeze/thaw cycles. | |
Liquid |
Immunohistochemistry (Paraffin), Western Blot | |
0.2 mg/mL | |
PBS with 40% glycerol and 0.02% sodium azide; pH 7.2 | |
Q96KN9 | |
GJD4 | |
Recombinant protein corresponding to Human Connexin 40.1. Recombinant protein control fragment (Product #RP-95007). | |
100 μL | |
Primary | |
Human | |
Antibody | |
IgG |
Product Content Correction
Your input is important to us. Please complete this form to provide feedback related to the content on this product.
Product Title
Spot an opportunity for improvement?Share a Content Correction