Promotional price valid on web orders only. Your contract pricing may differ. Interested in signing up for a dedicated account number?
Learn More
Learn More
Invitrogen™ COPB2 Polyclonal Antibody

Rabbit Polyclonal Antibody
Supplier: Invitrogen™ PA557852
Description
Immunogen sequence: VALGYDEGSI IVKLGREEPA MSMDANGKII WAKHSEVQQA NLKAMGDAEI KDGERLPLAV KDMGSCEIYP QTIQHNPNGR FVVVCGDGEY IIYTA Highest antigen sequence identity to the following orthologs: Mouse - 99%, Rat - 99%.
The coatomer is a cytosolic protein complex that binds to dilysine motifs and reversibly associates with Golgi non- clathrin-coated vesicles, which further mediate biosynthetic protein transport from the ER, via the Golgi up to the trans Golgi network. Coatomer complex is required for budding from Golgi membranes, and is essential for the retrograde Golgi-to-ER transport of dilysine-tagged proteins. In mammals, the coatomer can only be recruited by membranes associated to ADP-ribosylation factors (ARFs), which are small GTP-binding proteins; the complex also influences the Golgi structural integrity, as well as the processing, activity, and endocytic recycling of LDL receptors.
Specifications
COPB2 | |
Polyclonal | |
Unconjugated | |
COPB2 | |
AI256832; beta prime COP; beta'-coat protein; Beta'-COP; betaprime-COP; coatomer binding complex, beta prime subunit; coatomer protein complex subunit beta 2; coatomer protein complex subunit beta 2 (beta prime); coatomer protein complex subunit beta prime; coatomer protein complex, subunit beta 2 (beta prime); coatomer subunit beta'; COPB2; p102 | |
Rabbit | |
Antigen affinity chromatography | |
RUO | |
9276 | |
Store at 4°C short term. For long term storage, store at -20°C, avoiding freeze/thaw cycles. | |
Liquid |
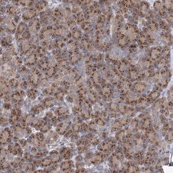
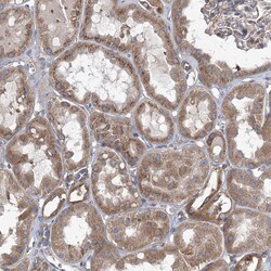
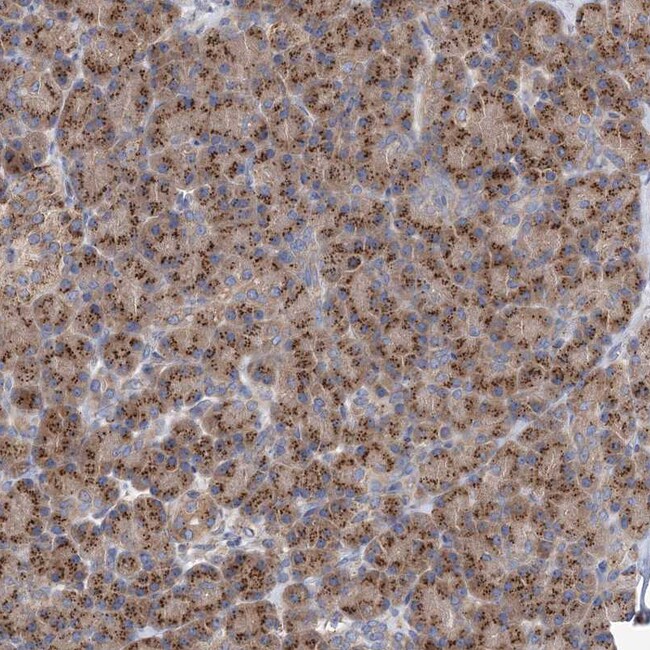
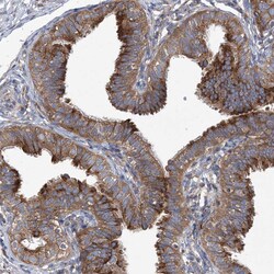
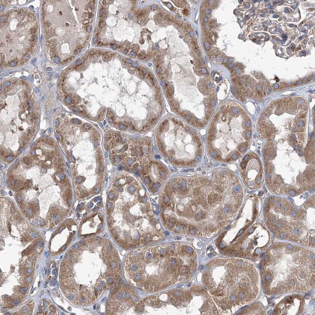
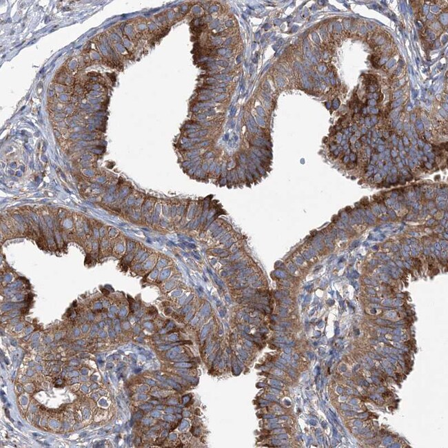
Immunohistochemistry (Paraffin) | |
0.1 mg/mL | |
PBS with 40% glycerol and 0.02% sodium azide; pH 7.2 | |
P35606 | |
COPB2 | |
Recombinant protein corresponding to Human COPB2. | |
100 μL | |
Primary | |
Human | |
Antibody | |
IgG |
Safety and Handling
WARNING: Cancer - www.P65Warnings.ca.gov
Product Content Correction
Your input is important to us. Please complete this form to provide feedback related to the content on this product.
Product Title
Spot an opportunity for improvement?Share a Content Correction