Promotional price valid on web orders only. Your contract pricing may differ. Interested in signing up for a dedicated account number?
Learn More
Learn More
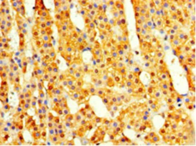
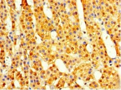
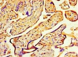
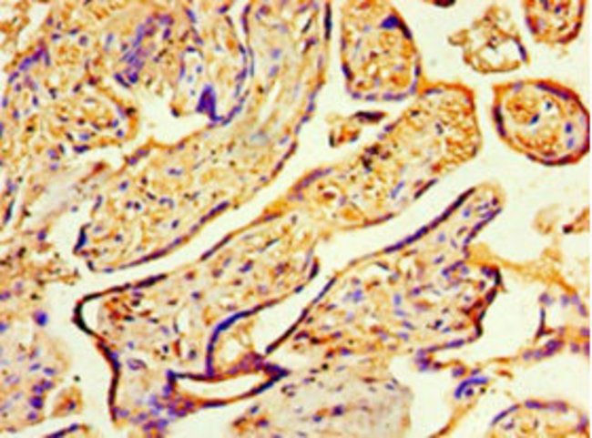
Invitrogen™ COPS7A Polyclonal Antibody

Rabbit Polyclonal Antibody
Supplier: Invitrogen™ PA5113422
Description
COPS7A Polyclonal Antibody for Western Blot, IHC (P), ELISA
The COP9 signalosome (CSN) complex is involved in several different developmental and cellular processes. The complex is made up of several widely expressed proteins: CSN1 (COPS1), CSN2 (COPS2), CSN3 (COPS3), CSN4 (COPS4), CSN5 (COPS5), CSN6 (COP6), CSN7a (COPS7, COPS7a) or CSN7b (COP7b) and CSN8 (COP8). The CSN complex acts as a regulator for the ubiquitin conjugation pathway by mediating the deneddylation of the SCF-type E3 ligase complexes, which leads to a decrease in ubiquitin ligase activity of SCF-complexes. It is also involved in the phosphorylation of p53, c-Jun, I B-alpha and IRF-8, as well as CSN-dependent phosphorylation of p53, and c-Jun protects and promotes degradation by the Ubl system. CSN7 is phosphorylated by CK2 and is composed of two subunits; a and b. CSN7a contains a PCI (Proteasome CSN9 initiation factor 3) region, as well as a coiled-coil region and is predicted to interact with CSN2, CSN3, CSN4, CSN5, CSN6, CSN8, and GPS1. CSN7b contains only a PCI region and is predicted to interact with INT6.
Specifications
| COPS7A | |
| Polyclonal | |
| Unconjugated | |
| COPS7A | |
| COP9 (constitutive photomorphogenic) homolog, subunit 7a; COP9 (constitutive photomorphogenic) homolog, subunit 7a (Arabidopsis thaliana); COP9 (constitutive photomorphogenic), subunit 7a; COP9 complex S7a; COP9 complex subunit 7a; COP9 constitutive photomorphogenic homolog subunit 7A; COP9 signalosome complex subunit 7a; COP9 signalosome subunit 7A; COPS7A; CSN7; CSN7A; D6Ertd35e; dermal papilla-derived protein 10; DERP10; JAB1-containing signalosome subunit 7a; SGN7a; signalosome subunit 7a | |
| Rabbit | |
| Protein G | |
| RUO | |
| 26894, 50813 | |
| -20°C or -80°C if preferred | |
| Liquid |
| ELISA, Immunohistochemistry (Paraffin), Western Blot | |
| 4 mg/mL | |
| PBS with 50% glycerol and 0.03% ProClin 300; pH 7.4 | |
| Q9CZ04, Q9UBW8 | |
| COPS7A | |
| Recombinant Human COP9 signalosome complex subunit 7a protein (2-275AA). | |
| 100 μg | |
| Primary | |
| Human, Mouse | |
| Antibody | |
| IgG |
Safety and Handling
WARNING: Cancer - www.P65Warnings.ca.gov
Product Content Correction
Your input is important to us. Please complete this form to provide feedback related to the content on this product.
Product Title
Spot an opportunity for improvement?Share a Content Correction