Learn More
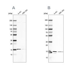
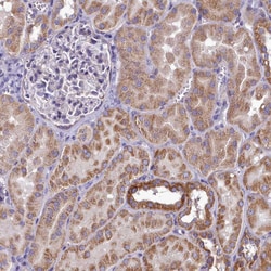
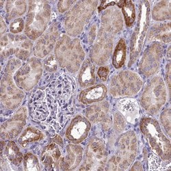
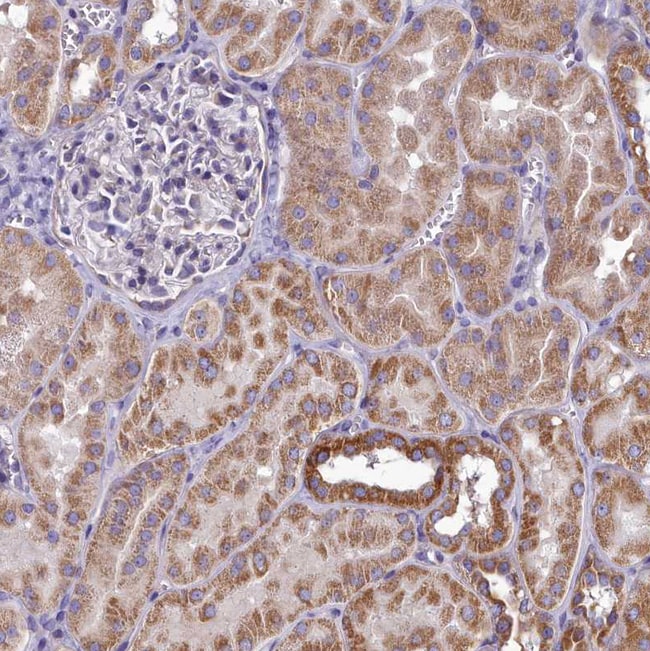
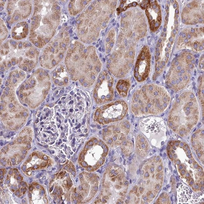
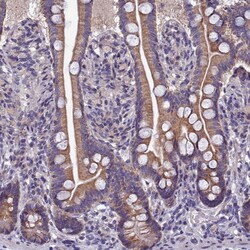
Invitrogen™ COX20 Polyclonal Antibody

Description
Immunogen sequence: YNYAKQRIQE RIAREEIKKK ILYEGTHLDP ERKHNGSSSN Highest antigen sequence identity to the following orthologs: Mouse - 75%, Rat - 78%.
Specifications
Specifications
| Antigen | COX20 |
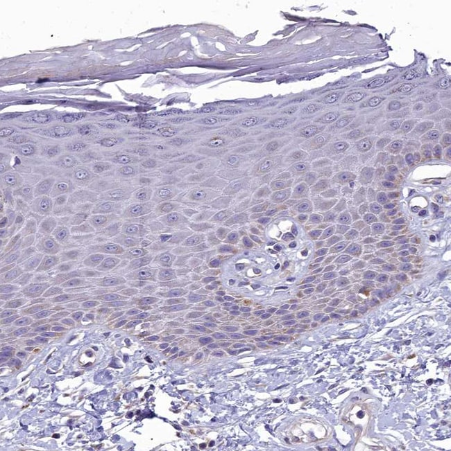
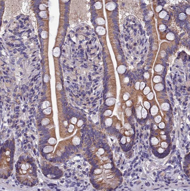
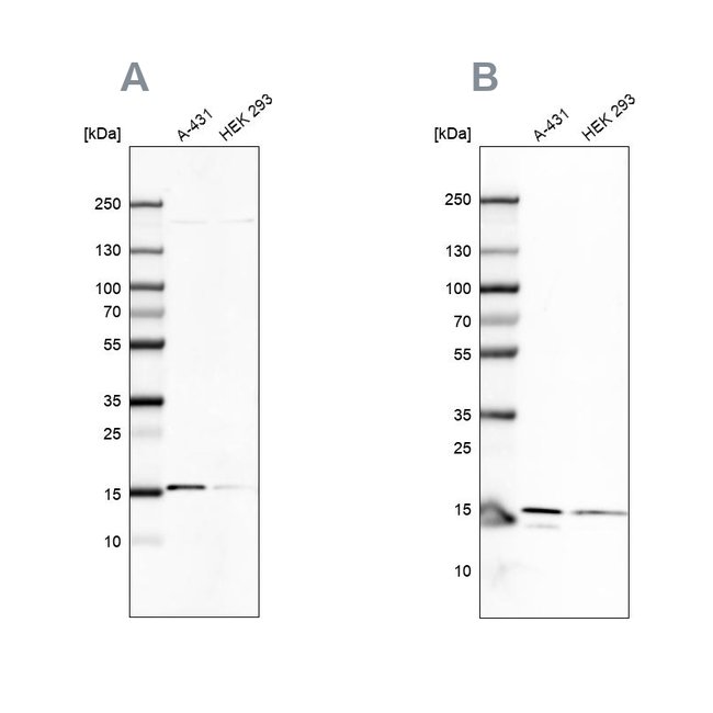
| Applications | Immunohistochemistry (Paraffin), Western Blot, Immunocytochemistry |
| Classification | Polyclonal |
| Concentration | 0.2 mg/mL |
| Conjugate | Unconjugated |
| Formulation | PBS with 40% glycerol and 0.02% sodium azide; pH 7.2 |
| Gene | COX20 |
| Gene Accession No. | Q5RI15 |
| Gene Alias | COX20; COX20 Cox2 chaperone homolog; COX20 cytochrome c oxidase assembly factor; COX20, cytochrome c oxidase assembly factor; Cytochrome c oxidase assembly protein COX20, mitochondrial; cytochrome c oxidase protein 20 homolog; FAM36A; family with sequence similarity 36, member A |
| Gene Symbols | COX20 |
| Show More |
By clicking Submit, you acknowledge that you may be contacted by Fisher Scientific in regards to the feedback you have provided in this form. We will not share your information for any other purposes. All contact information provided shall also be maintained in accordance with our Privacy Policy.