Promotional price valid on web orders only. Your contract pricing may differ. Interested in signing up for a dedicated account number?
Learn More
Learn More
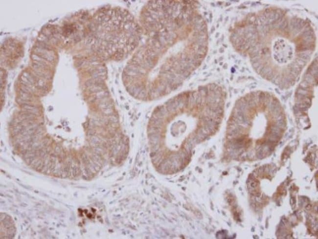
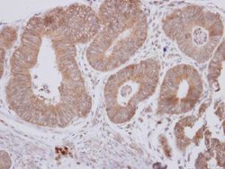
Invitrogen™ CPEB1 Polyclonal Antibody

Rabbit Polyclonal Antibody
Supplier: Invitrogen™ PA531975
Description
Recommended positive controls: NT2D1, IMR32, U87-MG, MCF-7. Predicted reactivity: Mouse (97%), Rat (97%), Xenopus laevis (92%), Pig (97%), Chicken (93%), Rhesus Monkey (99%). Store product as a concentrated solution. Centrifuge briefly prior to opening the vial.
This gene encodes a protein which, with 5-lipoxygenase, is required for leukotriene synthesis. Leukotrienes are arachidonic acid metabolites which have been implicated in various types of inflammatory responses, including asthma, arthritis and psoriasis. This protein localizes to the nuclear membrane. Inhibitors of its function impede translocation of 5-lipoxygenase from the cytoplasm to the nuclear membrane and inhibit 5-lipoxygenase activation. Alternatively spliced transcript variants encoding different isoforms have been identified for this gene.
Specifications
CPEB1 | |
Polyclonal | |
Unconjugated | |
CPEB1 | |
AU024112; CEBP; Cpeb; CPEB1; CPEB-1; CPE-binding protein 1; CPE-BP1; cytoplasmic polyadenylation element binding protein 1; cytoplasmic polyadenylation element-binding protein 1; FLJ13203; h-CEBP; h-CPEB; hCPEB-1; mCPEB; mCPEB-1; MGC34136; MGC60106 | |
Rabbit | |
Antigen affinity chromatography | |
RUO | |
64506 | |
Store at 4°C short term. For long term storage, store at -20°C, avoiding freeze/thaw cycles. | |
Liquid |
Immunohistochemistry (Paraffin), Western Blot | |
1 mg/mL | |
PBS with 1% BSA, 20% glycerol and 0.01% thimerosal; pH 7 | |
Q9BZB8 | |
CPEB1 | |
Recombinant protein encompassing a sequence within the center region of human CPEB1. The exact sequence is proprietary. | |
100 μL | |
Primary | |
Human | |
Antibody | |
IgG |
Safety and Handling
WARNING: Cancer - www.P65Warnings.ca.gov
Product Content Correction
Your input is important to us. Please complete this form to provide feedback related to the content on this product.
Product Title
Spot an opportunity for improvement?Share a Content Correction