Promotional price valid on web orders only. Your contract pricing may differ. Interested in signing up for a dedicated account number?
Learn More
Learn More
Invitrogen™ CPS1 Recombinant Rabbit Monoclonal Antibody (JB40-33)

Rabbit Recombinant Monoclonal Antibody
Supplier: Invitrogen™ MA534704
Description
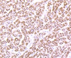
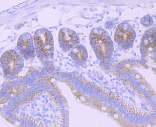
Positive Control: HepG2, SiHa, human liver tissue, mouse small intestine tissue.
The mitochondrial enzyme encoded by this gene catalyzes synthesis of carbamoyl phosphate from ammonia and bicarbonate. This reaction is the first committed step of the urea cycle, which is important in the removal of excess urea from cells. The encoded protein may also represent a core mitochondrial nucleoid protein. Three transcript variants encoding different isoforms have been found for this gene. The shortest isoform may not be localized to the mitochondrion. Mutations in this gene have been associated with carbamoyl phosphate synthetase deficiency, susceptibility to persistent pulmonary hypertension, and susceptibility to venoocclusive disease after bone marrow transplantation.
Specifications
| CPS1 | |
| Recombinant Monoclonal | |
| 1 mg/mL | |
| TBS with 0.05% BSA, 40% glycerol and 0.05% sodium azide; pH 7.4 | |
| P31327 | |
| CPS1 | |
| Recombinant protein within Human CPS1 aa 82-204. | |
| 100 μL | |
| Primary | |
| Human | |
| Antibody | |
| IgG |
| Immunohistochemistry (Paraffin), Western Blot, Immunocytochemistry | |
| JB40-33 | |
| Unconjugated | |
| CPS1 | |
| 4732433M03Rik; carbamoyl-phosphate synthase (ammonia); carbamoyl-phosphate synthase [ammonia], mitochondrial; carbamoyl-phosphate synthase 1; carbamoyl-phosphate synthase 1, mitochondrial; carbamoyl-phosphate synthetase 1; carbamoyl-phosphate synthetase 1, mitochondrial; carbamoylphosphate synthetase I; carbamoyl-phosphate synthetase I; carbamyl phosphate synthetase I; carboamyl-phosphate synthetase 1; cps; CPS1; CPSase I; CPSASE1; CPSI; D1Ucla3; PHN | |
| Rabbit | |
| Protein A | |
| RUO | |
| 1373 | |
| -20°C, Avoid Freeze/Thaw Cycles, store in dark | |
| Liquid |
Product Content Correction
Your input is important to us. Please complete this form to provide feedback related to the content on this product.
Product Title
Spot an opportunity for improvement?Share a Content Correction