Promotional price valid on web orders only. Your contract pricing may differ. Interested in signing up for a dedicated account number?
Learn More
Learn More
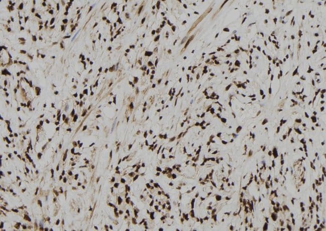
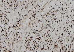
Invitrogen™ CPSF4 Polyclonal Antibody

Rabbit Polyclonal Antibody
Supplier: Invitrogen™ PA5106349
Description
Antibody detects endogenous levels of total CPSF4.
Inhibition of the nuclear export of poly(A)-containing mRNAs caused by the influenza A virus NS1 protein requires its effector domain. The NS1 effector domain functionally interacts with the cellular 30 kDa subunit of cleavage and polyadenylation specific factor 4, an essential component of the 3' end processing machinery of cellular pre-mRNAs. In influenza virus-infected cells, the NS1 protein is physically associated with cleavage and polyadenylation specific factor 4, 30kD subunit. Binding of the NS1 protein to the 30 kDa protein in vitro prevents CPSF binding to the RNA substrate and inhibits 3' end cleavage and polyadenylation of host pre-mRNAs. Thus the NS1 protein selectively inhibits the nuclear export of cellular, and not viral, mRNAs. Multiple alternatively spliced transcript variants that encode different isoforms have been described for this gene.
Specifications
| CPSF4 | |
| Polyclonal | |
| Unconjugated | |
| CPSF4 | |
| 30kDa; C79664; cleavage and polyadenylation specific factor 4; cleavage and polyadenylation specific factor 4, 30kD subunit; cleavage and polyadenylation specific factor 4, 30kDa; cleavage and polyadenylation specificity factor 30 kDa subunit; Cleavage and polyadenylation specificity factor subunit 4; clipper homolog; Clipper/CPSF 30K; CPSF 30 kDa subunit; Cpsf30; CPSF4; musculus clipper/cleavage and polyadenylation specificity factor 30 kDa subunit; NAR; NEB1; NEB-1; no; no arches homolog; no arches-like zinc finger protein; NS1 effector domain-binding protein 1 | |
| Rabbit | |
| Affinity chromatography | |
| RUO | |
| 10898, 54188 | |
| -20°C | |
| Liquid |
| Immunohistochemistry (Paraffin), Western Blot | |
| 1 mg/mL | |
| PBS with 50% glycerol and 0.02% sodium azide; pH 7.4 | |
| O95639, Q8BQZ5 | |
| CPSF4 | |
| A synthesized peptide derived from human CPSF4(Accession O95639), corresponding to amino acid residues L206-N256. | |
| 100 μL | |
| Primary | |
| Human, Mouse | |
| Antibody | |
| IgG |
Product Content Correction
Your input is important to us. Please complete this form to provide feedback related to the content on this product.
Product Title
Spot an opportunity for improvement?Share a Content Correction