Promotional price valid on web orders only. Your contract pricing may differ. Interested in signing up for a dedicated account number?
Learn More
Learn More
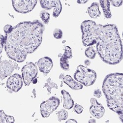
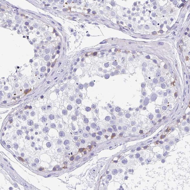
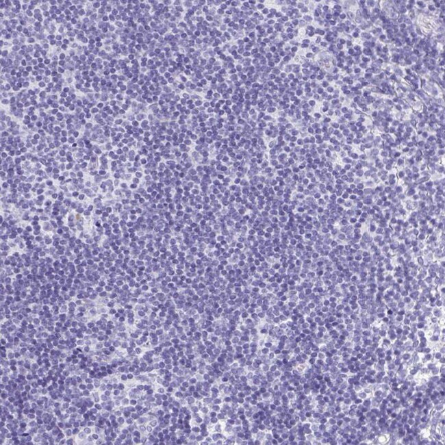
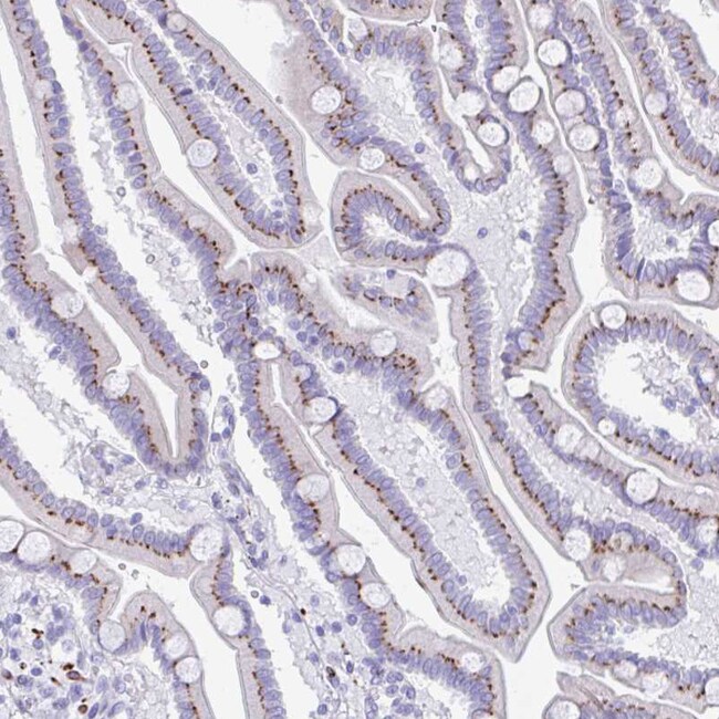
Invitrogen™ CPTP Polyclonal Antibody

Rabbit Polyclonal Antibody
Supplier: Invitrogen™ PA563355
Description
Immunogen sequence: MDDSETGFNL KVVLVSFKQC LDEKEEVL Highest antigen sequence identity to the following orthologs: Mouse - 82%, Rat - 68%.

Specifications
CPTP | |
Polyclonal | |
Unconjugated | |
CPTP | |
ceramide-1-phosphate transfer protein; CPTP; GLTP domain-containing protein 1; GLTPD1; glycolipid transfer protein domain containing 1; glycolipid transfer protein domain-containing protein 1 | |
Rabbit | |
Antigen affinity chromatography | |
RUO | |
80772 | |
Store at 4°C short term. For long term storage, store at -20°C, avoiding freeze/thaw cycles. | |
Liquid |
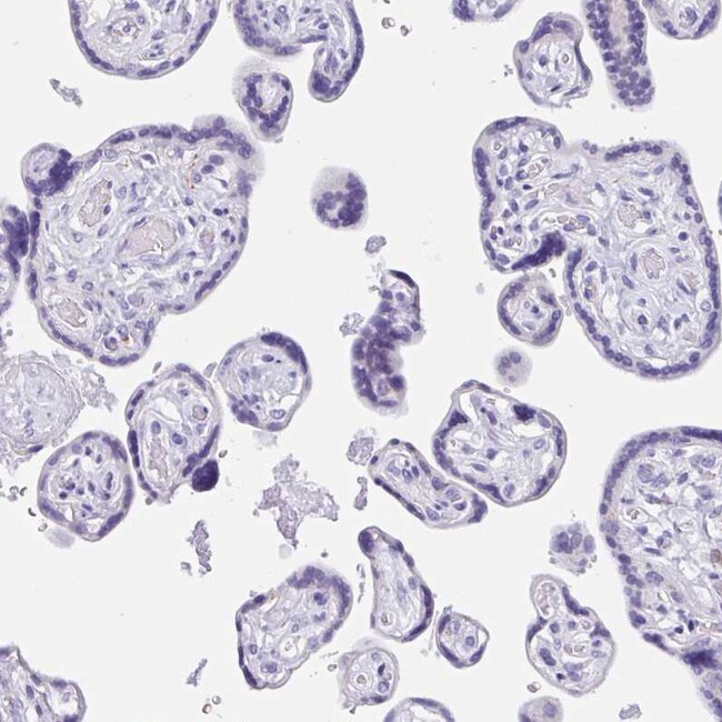
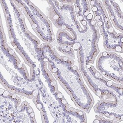
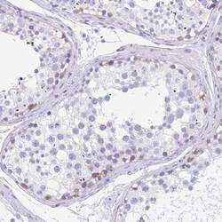
Immunohistochemistry (Paraffin), Immunocytochemistry | |
0.1 mg/mL | |
PBS with 40% glycerol and 0.02% sodium azide; pH 7.2 | |
Q5TA50 | |
CPTP | |
Recombinant protein corresponding to Human CPTP. Recombinant protein control fragment (Product #RP-101806). | |
100 μL | |
Primary | |
Human | |
Antibody | |
IgG |
Product Content Correction
Your input is important to us. Please complete this form to provide feedback related to the content on this product.
Product Title
Spot an opportunity for improvement?Share a Content Correction