Learn More
Invitrogen™ CRB2 Polyclonal Antibody

Description
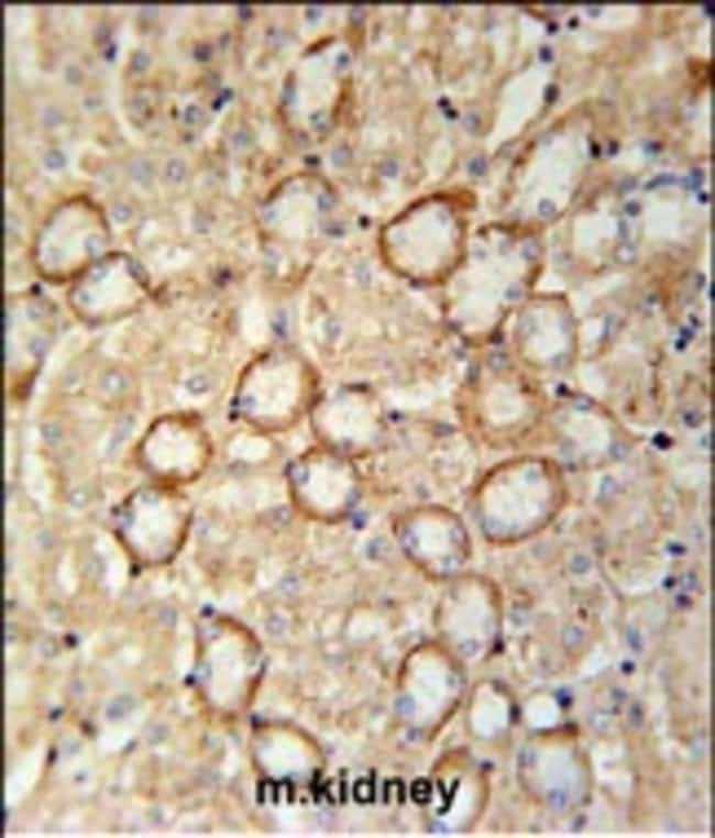
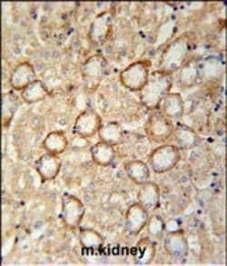
CRB2 Polyclonal Antibody for IHC (P), Western Blot
Specifications
Specifications
| Antigen | CRB2 |
| Applications | Immunohistochemistry (Paraffin), Western Blot |
| Classification | Polyclonal |
| Concentration | 0.25 mg/mL |
| Conjugate | Unconjugated |
| Formulation | PBS with 0.09% sodium azide; pH 7.4 |
| Gene | CRB2 |
| Gene Accession No. | Q5IJ48, Q80YA8 |
| Gene Alias | 5930402A21; BC043114; Crb2; crumbs 2; crumbs 2, cell polarity complex component; crumbs family member 2; crumbs homolog 2; crumbs2; crumbs-like protein 2; FSGS9; Protein crumbs homolog 2; RGD1309368; VMCKD |
| Gene Symbols | CRB2 |
| Show More |
By clicking Submit, you acknowledge that you may be contacted by Fisher Scientific in regards to the feedback you have provided in this form. We will not share your information for any other purposes. All contact information provided shall also be maintained in accordance with our Privacy Policy.