Promotional price valid on web orders only. Your contract pricing may differ. Interested in signing up for a dedicated account number?
Learn More
Learn More
Invitrogen™ Creatine Kinase BB Polyclonal Antibody

Rabbit Polyclonal Antibody
Supplier: Invitrogen™ PA5110627
Description
Immunogen sequence: VISMQKGGNM KEVFTRFCTG LTQIETLFKS KDYEFMWNPH LGYILTCPSN LGTGLRAGVH IKLPNLGKHE KFSEVLKRLR LQKRGTGGVD TAAVGGVFDV SNADRLGFSE VELVQMVVDG VKLLIEMEQR LEQGQAIDDL MPAQK.
The protein encoded by this gene is a cytoplasmic enzyme involved in energy homeostasis. The encoded protein reversibly catalyzes the transfer of phosphate between ATP and various phosphogens such as creatine phosphate. It acts as a homodimer in brain as well as in other tissues, and as a heterodimer with a similar muscle isozyme in heart. The encoded protein is a member of the ATP:guanido phosphotransferase protein family. A pseudogene of this gene has been characterized.
Specifications
| Creatine Kinase BB | |
| Polyclonal | |
| PBS with 40% glycerol and 0.02% sodium azide; pH 7.2 | |
| P12277 | |
| CKB | |
| Recombinant Protein corresonding to Human Creatine Kinase BB. Recombinant protein control fragment (Product #RP-88888). | |
| 100 μL | |
| Primary | |
| Human | |
| Antibody | |
| IgG |
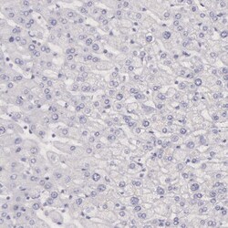
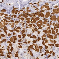
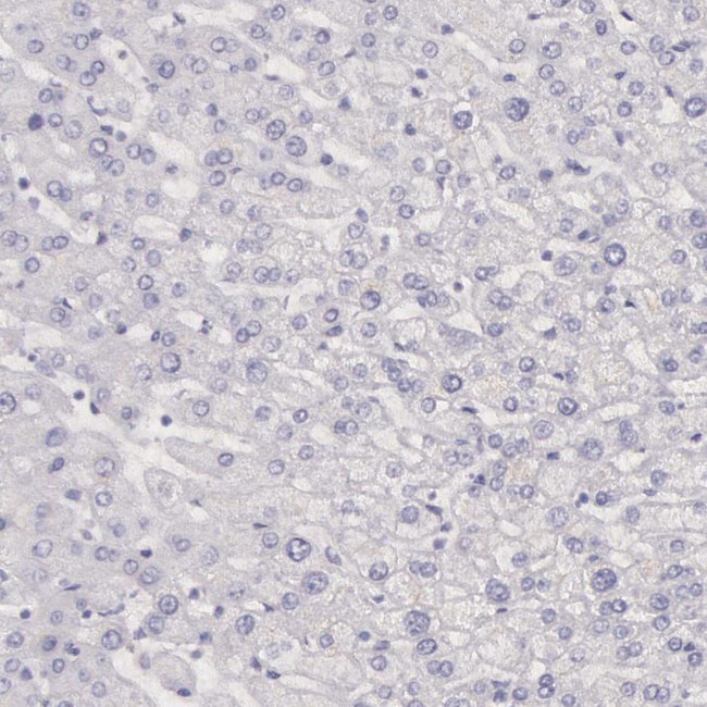
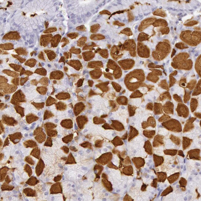
| Immunohistochemistry (Paraffin), Immunocytochemistry | |
| Unconjugated | |
| CKB | |
| Bck; B-CK; brain creatine kinase; Ck3; Ck-3; CKB; Ckbb; Ckbr; CPK-B; creatine kinase B; creatine kinase B chain; creatine kinase brain; creatine kinase brain-type; Creatine kinase B-type; creatine kinase, brain; creatine kinase-B; Creatine phosphokinase B-type; Creatine phosphokinase M-type; epididymis luminal protein 211; epididymis secretory protein Li 29; HEL-211; HEL-S-29 | |
| Rabbit | |
| Antigen affinity chromatography | |
| RUO | |
| 1152 | |
| Store at 4°C short term. For long term storage, store at -20°C, avoiding freeze/thaw cycles. | |
| Liquid |
Product Content Correction
Your input is important to us. Please complete this form to provide feedback related to the content on this product.
Product Title
Spot an opportunity for improvement?Share a Content Correction