Promotional price valid on web orders only. Your contract pricing may differ. Interested in signing up for a dedicated account number?
Learn More

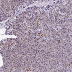
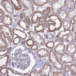
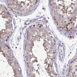
CSDE1 Antibody, Novus Biologicals™
SDP

Catalog No. p-200074719 Shop All R&D Systems Products
Change view
Click to view available options
Quantity:
25 μL
0.1 mL
2 product options available for selection
Product selection table with 2 available options. Use arrow keys to navigate and Enter or Space to select.
Catalog No. Quantity
NBP238665 0.1 mL
NB396723 25 μL
Use arrow keys to navigate between rows. Press Enter or Space to select a product option. 2 options available.
2 options
Catalog No. NBP238665 Supplier Novus Biologicals Supplier No. NBP238665
Only null left
Add to Cart
Add to Cart

Rabbit Polyclonal Antibody

CSDE1 Polyclonal specifically detects CSDE1 in Human samples. It is validated for Immunohistochemistry, Immunocytochemistry/Immunofluorescence, Immunohistochemistry-Paraffin.

Specifications

Antigen CSDE1
Applications Immunohistochemistry, Immunocytochemistry, Immunofluorescence, Immunohistochemistry (Paraffin)
Classification Polyclonal
Conjugate Unconjugated
Dilution Immunohistochemistry 1:50 - 1:200, Immunocytochemistry/Immunofluorescence 1 - 4 ug/ml, Immunohistochemistry-Paraffin 1:50 - 1:200
Formulation PBS (pH 7.2) and 40% Glycerol with 0.02% Sodium Azide
Gene Accession No. O75534
Gene Alias cold shock domain containing E1, RNA-binding, cold shock domain-containing protein E1, D1S155EUNRRP5-1000E10.3, DKFZp779B0247, DKFZp779J1455, FLJ26882, KIAA0885, N-ras upstream gene protein, NRAS-related, NRU, Protein UNR, upstream of NRAS
Gene Symbols CSDE1
Host Species Rabbit
Immunogen This antibody was developed against a recombinant protein corresponding to amino acids: VSFHSHSDHRFLGTVEKEATFSNPKTTSPNKGKEKEAEDGIIAYDDCGVKLTIAFQAKDVEGSTSPQIGDKVEFSISDKQRPGQQVATCVRLLGRNSNSKRLLGYVATLKDNFGFIETANHDKEIFFHYSEFSGDVD
Purification Method Affinity Purified
Quantity 0.1 mL
Regulatory Status RUO
Primary or Secondary Primary
Gene ID (Entrez) 7812
Test Specificity Specificity of antibody verified on a Protein Array containing target protein plus 383 other non-specific proteins.
Target Species Human
Content And Storage Store at 4C short term. Aliquot and store at -20C long term. Avoid freeze-thaw cycles.
Isotype IgG
Show More Show Less
Product Title
Select an issue

By clicking Submit, you acknowledge that you may be contacted by Fisher Scientific in regards to the feedback you have provided in this form. We will not share your information for any other purposes. All contact information provided shall also be maintained in accordance with our Privacy Policy.