Learn More
Invitrogen™ CSNK2A2 Polyclonal Antibody

Rabbit Polyclonal Antibody
Supplier: Invitrogen™ PA5109601
Description
Immunogen sequence: MPGPAAGSRA RVYAEVNSLR SREYWDYEAH VPSWGNQDDY QLVRKLGRGK YSEVFEAINI TNNERVVVKI LKPVKKKKIK REVKILENLR GGTNIIKLID TVKDPVSKTP ALVFEYINNT DFKQLYQILT DFDIRFYMYE LLKALDYCHS KGIMHRDVKP HNVMIDHQQK KLRLIDWGLA EFYHPAQEYN VRVASRYFKG PELLVDYQMY DYSLDMWSLG CMLASMIFRR EPFFHGQDNY DQLVRIAKVL GTEELYGYLK KYHIDLDPHF NDILGQHSRK RWENFIHSEN RHLVSPEALD LLDKLLRYDH QQRLTAKEAM EHPYFYPVVK EQSQPCADNA VLSSGLTAAR.
Casein kinase II is a protein serine/threonine kinase that is thought to be present in all eukarotic cells, implying that it has fundamental cellular functions. The holoenzyme is a tetramer containing 2 alpha or alpha-prime subunits (or one of each) and 2 beta subunits. The function of beta subunits is unknown and the alpha subunit is the catalytic unit. CK2 functions as a tetrameric complex consisting of two regulatory beta-subunits and two catalytic units (alpha and alpha') in a homomeric or heteromeric conformation. Whilst the alpha- and alpha'-subunits are catalytically identical, proteins that regulate CK2, such as cdc2 and Hsp90, preferentially bind to the alpha and not the alpha'-subunit. CK2 can phosphorylate a number of key intracellular signaling proteins implicated in tumor suppression (p53 and PTEN) and tumorigenesis (myc, jun, NF-kappaB). CK2 is also thought to influence Wnt signaling via beta-catenin phosphorylation and the PI 3-K signaling pathway via the phosphorylation of Akt.
Specifications
| CSNK2A2 | |
| Polyclonal | |
| Unconjugated | |
| CSNK2A2 | |
| 1110035J23Rik; C77789; casein kinase 2 alpha; casein kinase 2 alpha'; casein kinase 2 alpha 2; casein kinase 2, alpha prime polypeptide; casein kinase II subunit alpha'; casein kinase II, alpha 2, polypeptide; CK II alpha'; CK2; CK2A2; CK2alpha'; CSNK2A1; CSNK2A2 | |
| Rabbit | |
| Affinity Chromatography | |
| RUO | |
| 13000, 1459, 307641 | |
| -20°C, Avoid Freeze/Thaw Cycles | |
| Liquid |
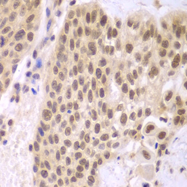
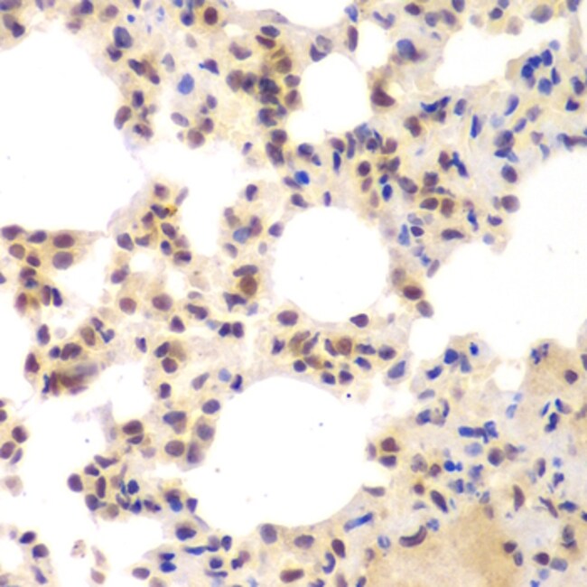
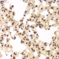
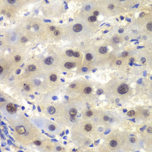
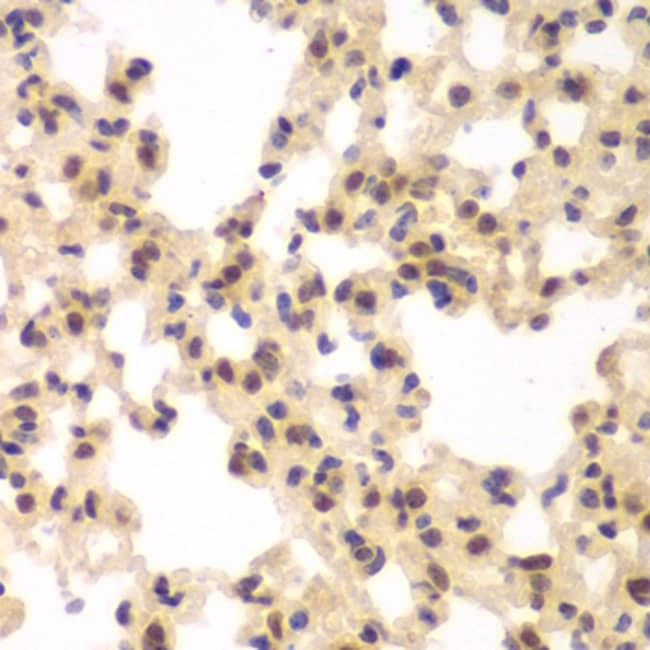
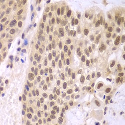
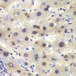
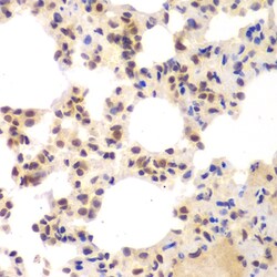
| ELISA, Immunohistochemistry (Paraffin), Western Blot, Immunocytochemistry | |
| 0.26 mg/mL | |
| PBS with 50% glycerol and 0.02% sodium azide; pH 7.3 | |
| O54833, P19784 | |
| CSNK2A2 | |
| Recombinant fusion protein containing a sequence corresponding to amino acids 1-350 of human CSNK2A2 (NP_001887.1). | |
| 100 μL | |
| Primary | |
| Human, Mouse, Rat | |
| Antibody | |
| IgG |
Your input is important to us. Please complete this form to provide feedback related to the content on this product.