Promotional price valid on web orders only. Your contract pricing may differ. Interested in signing up for a dedicated account number?
Learn More
Learn More
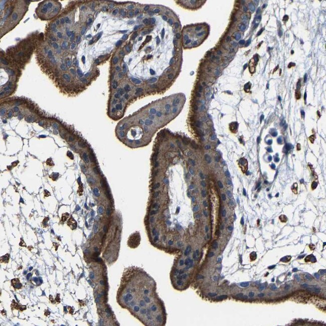
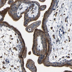
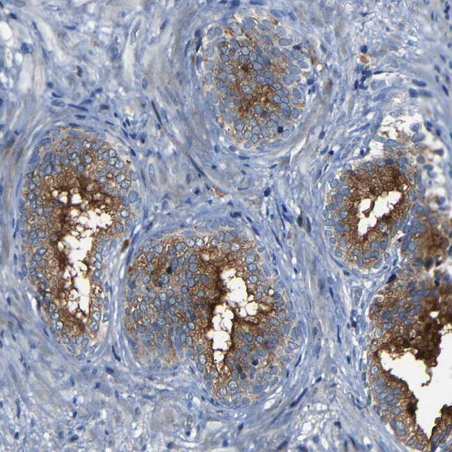
Invitrogen™ CSP alpha Polyclonal Antibody

Rabbit Polyclonal Antibody
Supplier: Invitrogen™ PA552975
Description
Immunogen sequence: CCGKCKPKAP EGEETEFYVS PEDLEAQLQS DEREATDTPI VIQPASATET TQLTADSHPS YHTDGFN Highest antigen sequence identity to the following orthologs: Mouse - 100%, Rat - 100%.
Cysteine string protein alpha (CSPalpha) is a synaptic vesicle protein that contains a DNA-J domain characteristic of Hsp40 chaperones. Cysteine-string proteins are membrane-bound proteins associated primarily with nerve endings and synaptic vesicles in the brain. These proteins play an important role in presynaptic function and may be involved in calcium-dependent neurotransmitter release. CSP proteins may act as presynaptic chaperones that assist in maintaining synaptic function.
Specifications
CSP alpha | |
Polyclonal | |
Unconjugated | |
Dnajc5 | |
2610314I24Rik; AU018536; Ceroid-lipofuscinosis neuronal protein 4; CLN4; CLN4B; Csp; CSP alpha; cysteine string protein; cysteine string protein alpha; DnaJ (Hsp40) homolog, subfamily C, member 5; DnaJ heat shock protein family (Hsp40) member C5; dnaJ homolog subfamily C member 5; Dnajc5; DNAJC5A; mir-941-2; mir-941-3; mir-941-4; mir-941-5; NCL | |
Rabbit | |
Antigen affinity chromatography | |
RUO | |
80331 | |
Store at 4°C short term. For long term storage, store at -20°C, avoiding freeze/thaw cycles. | |
Liquid |
Immunohistochemistry (Paraffin), Western Blot | |
0.1 mg/mL | |
PBS with 40% glycerol and 0.02% sodium azide; pH 7.2 | |
Q9H3Z4 | |
Dnajc5 | |
Recombinant protein corresponding to Human DNAJC5. | |
100 μL | |
Primary | |
Human | |
Antibody | |
IgG |
Product Content Correction
Your input is important to us. Please complete this form to provide feedback related to the content on this product.
Product Title
Spot an opportunity for improvement?Share a Content Correction