Promotional price valid on web orders only. Your contract pricing may differ. Interested in signing up for a dedicated account number?
Learn More
Learn More
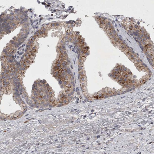
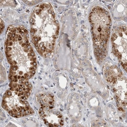
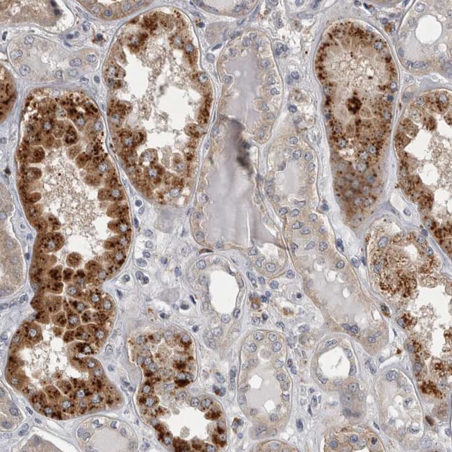
Invitrogen™ CTBS Polyclonal Antibody

Rabbit Polyclonal Antibody
Supplier: Invitrogen™ PA554836
Description
Immunogen sequence: VSLKDIIDPA FRASWIAQKL NLAKTQYMDG INIDIEQEVN CLSPEYDALT ALVKETTDSF HREIEGSQVT FDVAWSPKNI DRRCYNYTGI ADACDFLFV Highest antigen sequence identity to the following orthologs: Mouse - 88%, Rat - 85%.
Involved in the degradation of asparagine-linked glycoproteins. Hydrolyze of N-acetyl-beta-D-glucosamine (1-4)N-acetylglucosamine chitobiose core from the reducing end of the bond, it requires prior cleavage by glycosylasparaginase.
Specifications
| CTBS | |
| Polyclonal | |
| Unconjugated | |
| CTBS | |
| 2210401K11Rik; chitobiase; chitobiase, di-N-acetyl-; CTB; CTBdi-N-acetylchitobiase; CTBS; Di-N-acetylchitobiase | |
| Rabbit | |
| Antigen affinity chromatography | |
| RUO | |
| 1486 | |
| Store at 4°C short term. For long term storage, store at -20°C, avoiding freeze/thaw cycles. | |
| Liquid |
| Immunohistochemistry (Paraffin) | |
| 0.05 mg/mL | |
| PBS with 40% glycerol and 0.02% sodium azide; pH 7.2 | |
| Q01459 | |
| CTBS | |
| Recombinant protein corresponding to Human CTBS. Recombinant protein control fragment (Product #RP-92465). | |
| 100 μL | |
| Primary | |
| Human | |
| Antibody | |
| IgG |
Safety and Handling
WARNING: Cancer - www.P65Warnings.ca.gov
Product Content Correction
Your input is important to us. Please complete this form to provide feedback related to the content on this product.
Product Title
Spot an opportunity for improvement?Share a Content Correction