Promotional price valid on web orders only. Your contract pricing may differ. Interested in signing up for a dedicated account number?
Learn More
Learn More
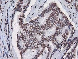
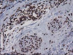
Invitrogen™ CTDSP1 Monoclonal Antibody (OTI1B6)

Mouse Monoclonal Antibody
Supplier: Invitrogen™ MA525370
Description
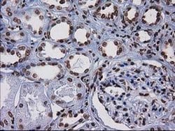
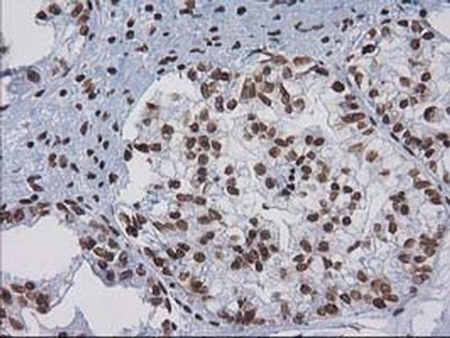
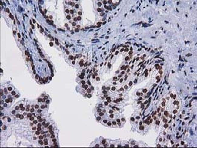
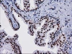
CTDSP1 Monoclonal Antibody for Western Blot, IHC (P)
CTDSP1 is a class 2C phosphatase with activity dependent on the conserved DxD motif. Expression of CTDSP1 inhibited activated transcription from several promoter-reporter gene constructs, but expression of a mutant lacking phosphatase activity enhanced transcription. Neuronal gene transcription is repressed in nonneuronal cells by the repressor element-1 (RE1)-silencing transcription factor/neuron-restrictive silencer factor (REST/NRSF; 600571) complex. REST/NRSF recruits SCPs to neuronal genes that contain RE1 elements, leading to neuronal gene silencing in nonneuronal cells. Phosphatase-inactive forms of SCP interfere with REST/NRSF function and promote neuronal differentiation of P19 stem cells. Likewise, small interfering RNA directed to the single Drosophila SCP unmasks neuronal gene expression in S2 cells. Thus, SCP activity is an evolutionarily conserved transcriptional regulator that acts globally to silence neuronal genes.
Specifications
| CTDSP1 | |
| Monoclonal | |
| 0.44 mg/mL | |
| PBS with 1% BSA, 50% glycerol and 0.02% sodium azide; pH 7.3 | |
| Q9GZU7 | |
| CTDSP1 | |
| Full length human recombinant protein of CTDSP1 produced in E.coli. | |
| 100 μL | |
| Primary | |
| Human | |
| Antibody | |
| IgG1 |
| Immunohistochemistry (Paraffin), Western Blot | |
| OTI1B6 | |
| Unconjugated | |
| CTDSP1 | |
| carboxy-terminal domain RNA polymerase II polypeptide A small phosphatase 1; CTD; CTD (carboxy-terminal domain, RNA polymerase II, polypeptide A) small phosphatase 1; CTD small phosphatase 1; Ctdsp1; GIP; golli-interacting protein; Nif3; Nliif; NLI-IF; NLI-interacting factor 3; Nuclear LIM interactor-interacting factor 3; SCP1; small CTD phosphatase 1; Small C-terminal domain phosphatase 1 | |
| Mouse | |
| Affinity Chromatography | |
| RUO | |
| 58190 | |
| -20°C, Avoid Freeze/Thaw Cycles | |
| Liquid |
Product Content Correction
Your input is important to us. Please complete this form to provide feedback related to the content on this product.
Product Title
Spot an opportunity for improvement?Share a Content Correction