Promotional price valid on web orders only. Your contract pricing may differ. Interested in signing up for a dedicated account number?
Learn More
Learn More
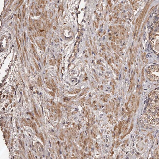
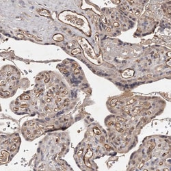
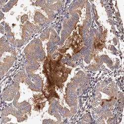
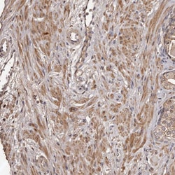
Invitrogen™ CTGF Polyclonal Antibody

Rabbit Polyclonal Antibody
Supplier: Invitrogen™ PA5111012
Description
Immunogen sequence: LPSPDCPFPR RVKLPGKCCE EWVCDEPKDQ TVVGPALAAY RLEDTFGPDP TMIRANCLVQ TTEWSACSKT CGMG.
Connective Tissue Growth Factor (CTGF), also called CCN2, is a member of the CCN family. CTGF is a secreted protein produced by umbilical veins and vascular endothelial cells. CTGF possesses an Insulin-like Growth Factor (IGF)-binding domain, a thrombospondin type 1 domain, and a cysteine knot region. CTGF plays important roles in the proliferation and differentiation of chondrocytes, induces angiogenesis, and promotes cell adhesion in fibroblasts, endothelial, and epithelial cells.
Specifications
| CTGF | |
| Polyclonal | |
| Unconjugated | |
| CCN2 | |
| 2-Nov; betaIG-M2; CCN family member 2; Ccn2; Cellular communication network factor 2; connective tissue growth factor; connective tissue growth factor precursor; Connective tissue growth factor precursor (CTGF) (FISP-12 protein) (Hypertrophic chondrocyte-specific protein 24); connective tissue growth-related protein; CTGF; CTGF protein; CTGRP; fibroblast inducible secreated protein; fibroblast inducible secreted protein; Fisp12; fisp-12; Hcs24; H-CTGF; hypertrophic chondrocyte-specific gene product 24; hypertrophic chondrocyte-specific protein 24; IBP-8; IGF-binding protein 8; IGFBP8; IGFBP-8; Insulin-like growth factor-binding protein 8; MGC102839; NOV2; Protein FISP-12; similar to connective tissue growth factor precursor | |
| Rabbit | |
| Antigen affinity chromatography | |
| RUO | |
| 1490 | |
| Store at 4°C short term. For long term storage, store at -20°C, avoiding freeze/thaw cycles. | |
| Liquid |
| Immunohistochemistry (Paraffin), Western Blot, Immunocytochemistry | |
| 0.10 mg/mL | |
| PBS with 40% glycerol and 0.02% sodium azide; pH 7.2 | |
| P29279 | |
| CCN2 | |
| Recombinant Protein corresonding to Human CTGF. Recombinant protein control fragment (Product #RP-94720). | |
| 100 μL | |
| Primary | |
| Human | |
| Antibody | |
| IgG |
Safety and Handling
WARNING: Cancer - www.P65Warnings.ca.gov
Product Content Correction
Your input is important to us. Please complete this form to provide feedback related to the content on this product.
Product Title
Spot an opportunity for improvement?Share a Content Correction